|
XB-PERS-2251
Publications By Bruno Reversade
???pagination.result.count??????pagination.result.page??? 1
|
CIROZ is dispensable in ancestral vertebrates but essential for left-right patterning in humans., Szenker-Ravi E, Ott T, Yusof A, Chopra M, Khatoo M, Pak B, Xuan Goh W, Beckers A, Brady AF, Ewans LJ, Djaziri N, Almontashiri NAM, Alghamdi MA, Alharby E, Dasouki M, Romo L, Tan WH, Maddirevula S, Alkuraya FS, Giordano JL, Alkelai A, Wapner RJ, Stals K, Alfadhel M, Alswaid AF, Bogusch S, Schafer-Kosulya A, Vogel S, Vick P, Schweickert A, Wakeling M, Moreau de Bellaing A, Alshamsi AM, Sanlaville D, Mbarek H, Saad C, Ellard S, Eisenhaber F, Tripolszki K, Beetz C, Bauer P, Gossler A, Eisenhaber B, Blum M, Bouvagnet P, Bertoli-Avella A, Amiel J, Gordon CT, Reversade B., Am J Hum Genet. January 6, 2025; 112 (2): 353-373. |
|
Deep transcriptome profiling reveals limited conservation of A-to-I RNA editing in Xenopus., Nguyen TA, Heng JWJ, Ng YT, Sun R, Fisher S, Oguz G, Kaewsapsak P, Xue S, Reversade B, Ramasamy A, Eisenberg E, Tan MH., BMC Biol. November 9, 2023; 21 (1): 251. |
|
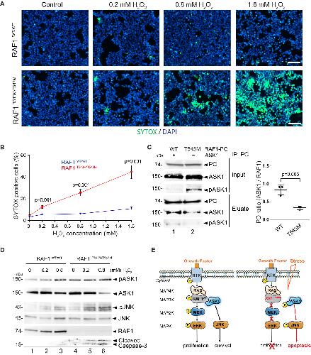
RAF1 deficiency causes a lethal syndrome that underscores RTK signaling during embryogenesis., Wong S, Tan YX, Loh AYT, Tan KY, Lee H, Aziz Z, Nelson SF, Özkan E, Kayserili H, Escande-Beillard N, Reversade B., EMBO Mol Med. May 8, 2023; 15 (5): e17078. |
|
INTS13 variants causing a recessive developmental ciliopathy disrupt assembly of the Integrator complex., Mascibroda LG, Shboul M, Elrod ND, Colleaux L, Hamamy H, Huang KL, Peart N, Singh MK, Lee H, Merriman B, Jodoin JN, Sitaram P, Lee LA, Fathalla R, Al-Rawashdeh B, Ababneh O, El-Khateeb M, Escande-Beillard N, Nelson SF, Wu Y, Tong L, Kenney LJ, Roy S, Russell WK, Amiel J, Reversade B, Wagner EJ., Nat Commun. October 13, 2022; 13 (1): 6054. |
|
Direct identification of A-to-I editing sites with nanopore native RNA sequencing., Nguyen TA, Heng JWJ, Kaewsapsak P, Kok EPL, Stanojević D, Liu H, Cardilla A, Praditya A, Yi Z, Lin M, Aw JGA, Ho YY, Peh KLE, Wang Y, Zhong Q, Heraud-Farlow J, Xue S, Reversade B, Walkley C, Ho YS, Šikić M, Wan Y, Tan MH., Nat Methods. July 1, 2022; 19 (7): 833-844. |
|
Discovery of a genetic module essential for assigning left-right asymmetry in humans and ancestral vertebrates., Szenker-Ravi E, Ott T, Khatoo M, Moreau de Bellaing A, Goh WX, Chong YL, Beckers A, Kannesan D, Louvel G, Anujan P, Ravi V, Bonnard C, Moutton S, Schoen P, Fradin M, Colin E, Megarbane A, Daou L, Chehab G, Di Filippo S, Rooryck C, Deleuze JF, Boland A, Arribard N, Eker R, Tohari S, Ng AY, Rio M, Lim CT, Eisenhaber B, Eisenhaber F, Venkatesh B, Amiel J, Crollius HR, Gordon CT, Gossler A, Roy S, Attie-Bitach T, Blum M, Bouvagnet P, Reversade B., Nat Genet. January 1, 2022; 54 (1): 62-72. |
|
Homozygous Null TBX4 Mutations Lead to Posterior Amelia with Pelvic and Pulmonary Hypoplasia., Kariminejad A, Szenker-Ravi E, Lekszas C, Tajsharghi H, Moslemi AR, Naert T, Tran HT, Ahangari F, Rajaei M, Nasseri M, Haaf T, Azad A, Superti-Furga A, Maroofian R, Ghaderi-Sohi S, Najmabadi H, Abbaszadegan MR, Vleminckx K, Nikuei P, Reversade B., Am J Hum Genet. December 5, 2019; 105 (6): 1294-1301. |
|
FSHD2- and BAMS-associated mutations confer opposing effects on SMCHD1 function., Gurzau AD, Chen K, Xue S, Dai W, Lucet IS, Ly TTN, Reversade B, Blewitt ME, Murphy JM., J Biol Chem. June 22, 2018; 293 (25): 9841-9853. |
|
RSPO2 inhibition of RNF43 and ZNRF3 governs limb development independently of LGR4/5/6., Szenker-Ravi E, Altunoglu U, Leushacke M, Bosso-Lefèvre C, Khatoo M, Thi Tran H, Naert T, Noelanders R, Hajamohideen A, Beneteau C, de Sousa SB, Karaman B, Latypova X, Başaran S, Yücel EB, Tan TT, Vlaminck L, Nayak SS, Shukla A, Girisha KM, Le Caignec C, Soshnikova N, Uyguner ZO, Vleminckx K, Barker N, Kayserili H, Reversade B., Nature. May 1, 2018; 557 (7706): 564-569. |
|
De novo mutations in SMCHD1 cause Bosma arhinia microphthalmia syndrome and abrogate nasal development., Gordon CT, Xue S, Yigit G, Filali H, Chen K, Rosin N, Yoshiura KI, Oufadem M, Beck TJ, McGowan R, Magee AC, Altmüller J, Dion C, Thiele H, Gurzau AD, Nürnberg P, Meschede D, Mühlbauer W, Okamoto N, Varghese V, Irving R, Sigaudy S, Williams D, Ahmed SF, Bonnard C, Kong MK, Ratbi I, Fejjal N, Fikri M, Elalaoui SC, Reigstad H, Bole-Feysot C, Nitschké P, Ragge N, Lévy N, Tunçbilek G, Teo AS, Cunningham ML, Sefiani A, Kayserili H, Murphy JM, Chatdokmaiprai C, Hillmer AM, Wattanasirichaigoon D, Lyonnet S, Magdinier F, Javed A, Blewitt ME, Amiel J, Wollnik B, Reversade B., Nat Genet. February 1, 2017; 49 (2): 249-255. |
|
Gmnc Is a Master Regulator of the Multiciliated Cell Differentiation Program., Zhou F, Narasimhan V, Shboul M, Chong YL, Reversade B, Roy S., Curr Biol. December 21, 2015; 25 (24): 3267-73. |
|
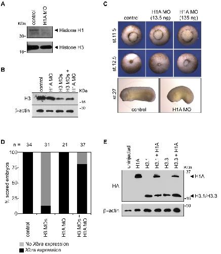
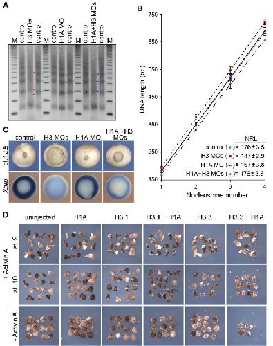
Optimal histone H3 to linker histone H1 chromatin ratio is vital for mesodermal competence in Xenopus., Lim CY, Reversade B, Knowles BB, Solter D., Development. February 1, 2013; 140 (4): 853-60. |
|
Mutations in IRX5 impair craniofacial development and germ cell migration via SDF1., Bonnard C, Strobl AC, Shboul M, Lee H, Merriman B, Nelson SF, Ababneh OH, Uz E, Güran T, Kayserili H, Hamamy H, Reversade B., Nat Genet. May 13, 2012; 44 (6): 709-13. |
|
Mutations in PYCR1 cause cutis laxa with progeroid features., Reversade B, Escande-Beillard N, Dimopoulou A, Fischer B, Chng SC, Li Y, Shboul M, Tham PY, Kayserili H, Al-Gazali L, Shahwan M, Brancati F, Lee H, O'Connor BD, Schmidt-von Kegler M, Merriman B, Nelson SF, Masri A, Alkazaleh F, Guerra D, Ferrari P, Nanda A, Rajab A, Markie D, Gray M, Nelson J, Grix A, Sommer A, Savarirayan R, Janecke AR, Steichen E, Sillence D, Hausser I, Budde B, Nürnberg G, Nürnberg P, Seemann P, Kunkel D, Zambruno G, Dallapiccola B, Schuelke M, Robertson S, Hamamy H, Wollnik B, Van Maldergem L, Mundlos S, Kornak U., Nat Genet. September 1, 2009; 41 (9): 1016-21. |
|
The opposing homeobox genes Goosecoid and Vent1/2 self-regulate Xenopus patterning., Sander V, Reversade B, De Robertis EM., EMBO J. June 20, 2007; 26 (12): 2955-65. |
|
Embryonic dorsal-ventral signaling: secreted frizzled-related proteins as inhibitors of tolloid proteinases., Lee HX, Ambrosio AL, Reversade B, De Robertis EM., Cell. January 13, 2006; 124 (1): 147-59. |
|
Regulation of ADMP and BMP2/4/7 at opposite embryonic poles generates a self-regulating morphogenetic field., Reversade B, De Robertis EM., Cell. December 16, 2005; 123 (6): 1147-60. |
|
Depletion of Bmp2, Bmp4, Bmp7 and Spemann organizer signals induces massive brain formation in Xenopus embryos., Reversade B, Kuroda H, Lee H, Mays A, De Robertis EM., Development. August 1, 2005; 132 (15): 3381-92. |
|
Default neural induction: neuralization of dissociated Xenopus cells is mediated by Ras/MAPK activation., Kuroda H, Fuentealba L, Ikeda A, Reversade B, De Robertis EM., Genes Dev. May 1, 2005; 19 (9): 1022-7. |
|
Sirenomelia in Bmp7 and Tsg compound mutant mice: requirement for Bmp signaling in the development of ventral posterior mesoderm., Zakin L, Reversade B, Kuroda H, Lyons KM, De Robertis EM., Development. May 1, 2005; 132 (10): 2489-99. |
|
The pro-BMP activity of Twisted gastrulation is independent of BMP binding., Oelgeschläger M, Reversade B, Larraín J, Little S, Mullins MC, De Robertis EM., Development. September 1, 2003; 130 (17): 4047-56. |
|
Chordin is required for the Spemann organizer transplantation phenomenon in Xenopus embryos., Oelgeschläger M, Kuroda H, Reversade B, De Robertis EM., Dev Cell. February 1, 2003; 4 (2): 219-30. |
|
Connective-tissue growth factor (CTGF) modulates cell signalling by BMP and TGF-beta., Abreu JG, Ketpura NI, Reversade B, De Robertis EM., Nat Cell Biol. August 1, 2002; 4 (8): 599-604. |
|
Proteolytic cleavage of Chordin as a switch for the dual activities of Twisted gastrulation in BMP signaling., Larraín J, Oelgeschläger M, Ketpura NI, Reversade B, Zakin L, De Robertis EM., Development. November 1, 2001; 128 (22): 4439-47. |
???pagination.result.page??? 1
