|
XB-PERS-2149
Publications By Peggy J Kolm
???pagination.result.count??????pagination.result.page??? 1
|
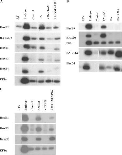
The Meis3 protein and retinoid signaling interact to pattern the Xenopus hindbrain., Dibner C, Elias S, Ofir R, Souopgui J, Kolm PJ, Sive H, Pieler T, Frank D., Dev Biol. July 1, 2004; 271 (1): 75-86. |
|
Xenopus hindbrain patterning requires retinoid signaling., Kolm PJ, Apekin V, Sive H., Dev Biol. December 1, 1997; 192 (1): 1-16. |
|
Efficient hormone-inducible protein function in Xenopus laevis., Kolm PJ, Sive HL., Dev Biol. September 1, 1995; 171 (1): 267-72. |
|
Regulation of the Xenopus labial homeodomain genes, HoxA1 and HoxD1: activation by retinoids and peptide growth factors., Kolm PJ, Sive HL., Dev Biol. January 1, 1995; 167 (1): 34-49. |
|
Complex regulation of Xenopus HoxAI and HoxDI., Kolm PJ, Sive HL., Biochem Soc Trans. August 1, 1994; 22 (3): 579-84. |
???pagination.result.page??? 1
