|
XB-PERS-2124
Publications By Karl Kunzelmann
???pagination.result.count??????pagination.result.page??? 1 2 ???pagination.result.next???
|
Pharmacological inhibitors of the cystic fibrosis transmembrane conductance regulator exert off-target effects on epithelial cation channels., Lin J, Gettings SM, Talbi K, Schreiber R, Taggart MJ, Preller M, Kunzelmann K, Althaus M, Gray MA., Pflugers Arch. February 1, 2023; 475 (2): 167-179. |
|
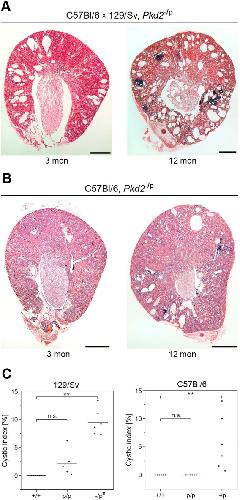
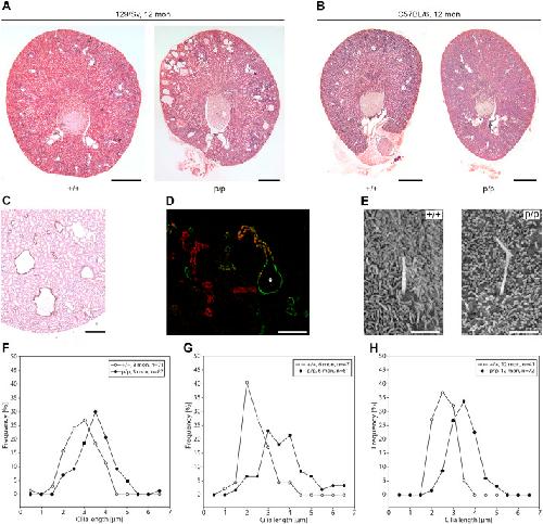
A polycystin-2 protein with modified channel properties leads to an increased diameter of renal tubules and to renal cysts., Grosch M, Brunner K, Ilyaskin AV, Schober M, Staudner T, Schmied D, Stumpp T, Schmidt KN, Madej MG, Pessoa TD, Othmen H, Kubitza M, Osten L, de Vries U, Mair MM, Somlo S, Moser M, Kunzelmann K, Ziegler C, Haerteis S, Korbmacher C, Witzgall R., J Cell Sci. August 15, 2021; 134 (16): |
|
CFTR supports cell death through ROS-dependent activation of TMEM16F (anoctamin 6)., Simões F, Ousingsawat J, Wanitchakool P, Fonseca A, Cabrita I, Benedetto R, Schreiber R, Kunzelmann K., Pflugers Arch. February 1, 2018; 470 (2): 305-314. |
|
Proline-dependent and basophilic kinases phosphorylate human TRPC6 at serine 14 to control channel activity through increased membrane expression., Hagmann H, Mangold N, Rinschen MM, Koenig T, Kunzelmann K, Schermer B, Benzing T, Brinkkoetter PT., FASEB J. January 1, 2018; 32 (1): 208-219. |
|
Relationship between TMEM16A/anoctamin 1 and LRRC8A., Benedetto R, Sirianant L, Pankonien I, Wanitchakool P, Ousingsawat J, Cabrita I, Schreiber R, Amaral M, Kunzelmann K., Pflugers Arch. October 1, 2016; 468 (10): 1751-63. |
|
Bestrophin 1 is indispensable for volume regulation in human retinal pigment epithelium cells., Milenkovic A, Brandl C, Milenkovic VM, Jendryke T, Sirianant L, Wanitchakool P, Zimmermann S, Reiff CM, Horling F, Schrewe H, Schreiber R, Kunzelmann K, Wetzel CH, Weber BH., Proc Natl Acad Sci U S A. May 19, 2015; 112 (20): E2630-9. |
|
A Coding Variant of ANO10, Affecting Volume Regulation of Macrophages, Is Associated with Borrelia Seropositivity., Hammer C, Wanitchakool P, Sirianant L, Papiol S, Monnheimer M, Faria D, Ousingsawat J, Schramek N, Schmitt C, Margos G, Michel A, Kraiczy P, Pawlita M, Schreiber R, Schulz TF, Fingerle V, Tumani H, Ehrenreich H, Kunzelmann K., Mol Med. February 23, 2015; 21 26-37. |
|
Anoctamin 6 mediates effects essential for innate immunity downstream of P2X7 receptors in macrophages., Ousingsawat J, Wanitchakool P, Kmit A, Romao AM, Jantarajit W, Schreiber R, Kunzelmann K., Nat Commun. February 5, 2015; 6 6245. |
|
Control of TMEM16A by INO-4995 and other inositolphosphates., Tian Y, Schreiber R, Wanitchakool P, Kongsuphol P, Sousa M, Uliyakina I, Palma M, Faria D, Traynor-Kaplan AE, Fragata JI, Amaral MD, Kunzelmann K., Br J Pharmacol. January 1, 2013; 168 (1): 253-65. |
|
Regulation of ENaC biogenesis by the stress response protein SERP1., Faria D, Lentze N, Almaça J, Luz S, Alessio L, Tian Y, Martins JP, Cruz P, Schreiber R, Rezwan M, Farinha CM, Auerbach D, Amaral MD, Kunzelmann K., Pflugers Arch. June 1, 2012; 463 (6): 819-27. |
|
Contribution of casein kinase 2 and spleen tyrosine kinase to CFTR trafficking and protein kinase A-induced activity., Luz S, Kongsuphol P, Mendes AI, Romeiras F, Sousa M, Schreiber R, Matos P, Jordan P, Mehta A, Amaral MD, Kunzelmann K, Farinha CM., Mol Cell Biol. November 1, 2011; 31 (22): 4392-404. |
|
F508del-CFTR increases intracellular Ca(2+) signaling that causes enhanced calcium-dependent Cl(-) conductance in cystic fibrosis., Martins JR, Kongsuphol P, Sammels E, Dahimène S, Aldehni F, Clarke LA, Schreiber R, de Smedt H, Amaral MD, Kunzelmann K., Biochim Biophys Acta. November 1, 2011; 1812 (11): 1385-92. |
|
CFTR induces extracellular acid sensing in Xenopus oocytes which activates endogenous Ca²⁺-activated Cl⁻ conductance., Kongsuphol P, Schreiber R, Kraidith K, Kunzelmann K., Pflugers Arch. September 1, 2011; 462 (3): 479-87. |
|
Effect of Annexin A5 on CFTR: regulated traffic or scaffolding?, Faria D, Dahimène S, Alessio L, Scott-Ward T, Schreiber R, Kunzelmann K, Amaral MD., Mol Membr Biol. January 1, 2011; 28 (1): 14-29. |
|
Introduction to section V: assessment of CFTR function., Kunzelmann K., Methods Mol Biol. January 1, 2011; 741 407-18. |
|
Polycystin-2 activity is controlled by transcriptional coactivator with PDZ binding motif and PALS1-associated tight junction protein., Duning K, Rosenbusch D, Schlüter MA, Tian Y, Kunzelmann K, Meyer N, Schulze U, Markoff A, Pavenstädt H, Weide T., J Biol Chem. October 29, 2010; 285 (44): 33584-8. |
|
Localization and functional characterization of the human NKCC2 isoforms., Carota I, Theilig F, Oppermann M, Kongsuphol P, Rosenauer A, Schreiber R, Jensen BL, Walter S, Kunzelmann K, Castrop H., Acta Physiol (Oxf). July 1, 2010; 199 (3): 327-38. |
|
ER-localized bestrophin 1 activates Ca2+-dependent ion channels TMEM16A and SK4 possibly by acting as a counterion channel., Barro-Soria R, Aldehni F, Almaça J, Witzgall R, Schreiber R, Kunzelmann K., Pflugers Arch. February 1, 2010; 459 (3): 485-97. |
|
Metformin treatment of diabetes mellitus increases the risk for pancreatitis in patients bearing the CFTR-mutation S573C., Kongsuphol P, Cassidy D, Romeiras F, Schreiber R, Mehta A, Kunzelmann K., Cell Physiol Biochem. January 1, 2010; 25 (4-5): 389-96. |
|
CFTR is activated through stimulation of purinergic P2Y2 receptors., Faria D, Schreiber R, Kunzelmann K., Pflugers Arch. April 1, 2009; 457 (6): 1373-80. |
|
Inhibition of protein kinase CK2 closes the CFTR Cl channel, but has no effect on the cystic fibrosis mutant deltaF508-CFTR., Treharne KJ, Xu Z, Chen JH, Best OG, Cassidy DM, Gruenert DC, Hegyi P, Gray MA, Sheppard DN, Kunzelmann K, Mehta A., Cell Physiol Biochem. January 1, 2009; 24 (5-6): 347-60. |
|
Regulation of the epithelial Na+ channel by the protein kinase CK2., Bachhuber T, Almaça J, Aldehni F, Mehta A, Amaral MD, Schreiber R, Kunzelmann K., J Biol Chem. May 9, 2008; 283 (19): 13225-32. |
|
Protein kinase CK2, cystic fibrosis transmembrane conductance regulator, and the deltaF508 mutation: F508 deletion disrupts a kinase-binding site., Treharne KJ, Crawford RM, Xu Z, Chen JH, Best OG, Schulte EA, Gruenert DC, Wilson SM, Sheppard DN, Kunzelmann K, Mehta A., J Biol Chem. April 6, 2007; 282 (14): 10804-13. |
|
An extract from the medicinal plant Phyllanthus acidus and its isolated compounds induce airway chloride secretion: A potential treatment for cystic fibrosis., Sousa M, Ousingsawat J, Seitz R, Puntheeranurak S, Regalado A, Schmidt A, Grego T, Jansakul C, Amaral MD, Schreiber R, Kunzelmann K., Mol Pharmacol. January 1, 2007; 71 (1): 366-76. |
|
IADS, a decomposition product of DIDS activates a cation conductance in Xenopus oocytes and human erythrocytes: new compound for the diagnosis of cystic fibrosis., Stumpf A, Almaca J, Kunzelmann K, Wenners-Epping K, Huber SM, Haberle J, Falk S, Duebbers A, Walte M, Oberleithner H, Schillers H., Cell Physiol Biochem. January 1, 2006; 18 (4-5): 243-52. |
|
Cl- interference with the epithelial Na+ channel ENaC., Bachhuber T, König J, Voelcker T, Mürle B, Schreiber R, Kunzelmann K., J Biol Chem. September 9, 2005; 280 (36): 31587-94. |
|
The rat Na+-sulfate cotransporter rNaS2: functional characterization, tissue distribution, and gene (slc13a4) structure., Dawson PA, Pirlo KJ, Steane SE, Nguyen KA, Kunzelmann K, Chien YJ, Markovich D., Pflugers Arch. July 1, 2005; 450 (4): 262-8. |
|
Functional characterization and genomic organization of the human Na(+)-sulfate cotransporter hNaS2 gene (SLC13A4)., Markovich D, Regeer RR, Kunzelmann K, Dawson PA., Biochem Biophys Res Commun. January 28, 2005; 326 (4): 729-34. |
|
Purinergic inhibition of the epithelial Na+ transport via hydrolysis of PIP2., Kunzelmann K, Bachhuber T, Regeer R, Markovich D, Sun J, Schreiber R., FASEB J. January 1, 2005; 19 (1): 142-3. |
|
Control of epithelial ion transport by Cl- and PDZ proteins., Schreiber R, Boucherot A, Mürle B, Sun J, Kunzelmann K., J Membr Biol. May 15, 2004; 199 (2): 85-98. |
|
Effects of purinergic stimulation, CFTR and osmotic stress on amiloride-sensitive Na+ transport in epithelia and Xenopus oocytes., Schreiber R, König J, Sun J, Markovich D, Kunzelmann K., J Membr Biol. March 15, 2003; 192 (2): 101-10. |
|
ENaC is inhibited by an increase in the intracellular Cl(-) concentration mediated through activation of Cl(-) channels., Kunzelmann K., Pflugers Arch. January 1, 2003; 445 (4): 504-12. |
|
No evidence for inhibition of ENaC through CFTR-mediated release of ATP., König J, Schreiber R, Mall M, Kunzelmann K., Biochim Biophys Acta. September 20, 2002; 1565 (1): 17-28. |
|
The cystic fibrosis transmembrane conductance regulator (CFTR) inhibits ENaC through an increase in the intracellular Cl- concentration., König J, Schreiber R, Voelcker T, Mall M, Kunzelmann K., EMBO Rep. November 1, 2001; 2 (11): 1047-51. |
|
Role of CFTR's PDZ1-binding domain, NBF1 and Cl(-) conductance in inhibition of epithelial Na(+) channels in Xenopus oocytes., Boucherot A, Schreiber R, Kunzelmann K., Biochim Biophys Acta. November 1, 2001; 1515 (1): 64-71. |
|
Properties and function of KCNQ1 K+ channels isolated from the rectal gland of Squalus acanthias., Kerst G, Beschorner U, Unsöld B, von Hahn T, Schreiber R, Greger R, Gerlach U, Lang HJ, Kunzelmann K, Bleich M., Pflugers Arch. October 1, 2001; 443 (1): 146-54. |
|
Regulation and properties of KCNQ1 (K(V)LQT1) and impact of the cystic fibrosis transmembrane conductance regulator., Boucherot A, Schreiber R, Kunzelmann K., J Membr Biol. July 1, 2001; 182 (1): 39-47. |
|
Control of cystic fibrosis transmembrane conductance regulator expression by BAP31., Lambert G, Becker B, Schreiber R, Boucherot A, Reth M, Kunzelmann K., J Biol Chem. June 8, 2001; 276 (23): 20340-5. |
|
Control of the cystic fibrosis transmembrane conductance regulator by alphaG(i) and RGS proteins., Schreiber R, Kindle P, Benzing T, Walz G, Kunzelmann K., Biochem Biophys Res Commun. March 9, 2001; 281 (4): 917-23. |
|
Cloning and function of the rat colonic epithelial K+ channel KVLQT1., Kunzelmann K, Hübner M, Schreiber R, Levy-Holzman R, Garty H, Bleich M, Warth R, Slavik M, von Hahn T, Greger R., J Membr Biol. January 15, 2001; 179 (2): 155-64. |
|
Expression and function of colonic epithelial KvLQT1 K+ channels., Kunzelmann K, Bleich M, Warth R, Levy-Holzman R, Garty H, Schreiber R., Clin Exp Pharmacol Physiol. January 1, 2001; 28 (1-2): 79-83. |
|
Effect of genistein on native epithelial tissue from normal individuals and CF patients and on ion channels expressed in Xenopus oocytes., Mall M, Wissner A, Seydewitz HH, Hübner M, Kuehr J, Brandis M, Greger R, Kunzelmann K., Br J Pharmacol. August 1, 2000; 130 (8): 1884-92. |
|
Aquaporin 3 cloned from Xenopus laevis is regulated by the cystic fibrosis transmembrane conductance regulator., Schreiber R, Pavenstädt H, Greger R, Kunzelmann K., FEBS Lett. June 23, 2000; 475 (3): 291-5. |
|
A Bartter's syndrome mutation of ROMK1 exerts dominant negative effects on K(+) conductance., Kunzelmann K, Hübner M, Vollmer M, Ruf R, Hildebrandt F, Greger R, Schreiber R., Cell Physiol Biochem. January 1, 2000; 10 (3): 117-24. |
|
Feedback inhibition of epithelial Na(+) channels in Xenopus oocytes does not require G(0) or G(i2) proteins., Hübner M, Schreiber R, Boucherot A, Sanchez-Perez A, Poronnik P, Cook DI, Kunzelmann K., FEBS Lett. October 15, 1999; 459 (3): 443-7. |
|
Molecular and functional characterization of the small Ca(2+)-regulated K+ channel (rSK4) of colonic crypts., Warth R, Hamm K, Bleich M, Kunzelmann K, von Hahn T, Schreiber R, Ullrich E, Mengel M, Trautmann N, Kindle P, Schwab A, Greger R., Pflugers Arch. September 1, 1999; 438 (4): 437-44. |
|
Cystic fibrosis transmembrane conductance regulator inhibits epithelial Na+ channels carrying Liddle's syndrome mutations., Hopf A, Schreiber R, Mall M, Greger R, Kunzelmann K., J Biol Chem. May 14, 1999; 274 (20): 13894-9. |
|
The first-nucleotide binding domain of the cystic-fibrosis transmembrane conductance regulator is important for inhibition of the epithelial Na+ channel., Schreiber R, Hopf A, Mall M, Greger R, Kunzelmann K., Proc Natl Acad Sci U S A. April 27, 1999; 96 (9): 5310-5. |
|
The cystic fibrosis transmembrane conductance regulator activates aquaporin 3 in airway epithelial cells., Schreiber R, Nitschke R, Greger R, Kunzelmann K., J Biol Chem. April 23, 1999; 274 (17): 11811-6. |
|
Cl- transport by cystic fibrosis transmembrane conductance regulator (CFTR) contributes to the inhibition of epithelial Na+ channels (ENaCs) in Xenopus oocytes co-expressing CFTR and ENaC., Briel M, Greger R, Kunzelmann K., J Physiol. May 1, 1998; 508 ( Pt 3) 825-36. |
???pagination.result.page??? 1 2 ???pagination.result.next???
