Click here to close Hello! We notice that you are using Internet Explorer, which is not supported by Xenbase and may cause the site to display incorrectly. We suggest using a current version of Chrome, FireFox, or Safari.

Profile Publications (29)
XB-PERS-2117

Publications By Peter K Jackson

???pagination.result.count???

???pagination.result.page??? 1


Corrigendum: The ciliopathy-associated CPLANE proteins direct basal body recruitment of intraflagellar transport machinery., Toriyama M, Lee C, Taylor SP, Duran I, Cohn DH, Bruel AL, Tabler JM, Drew K, Kelly MR, Kim S, Park TJ, Braun DA, Pierquin G, Biver A, Wagner K, Malfroot A, Panigrahi I, Franco B, Al-Lami HA, Yeung Y, Choi YJ, University of Washington Center for Mendelian Genomics, Duffourd Y, Faivre L, Rivière JB, Chen J, Liu KJ, Marcotte EM, Hildebrandt F, Thauvin-Robinet C, Krakow D, Jackson PK, Wallingford JB., Nat Genet. July 27, 2016; 48 (8): 970.


The ciliopathy-associated CPLANE proteins direct basal body recruitment of intraflagellar transport machinery., Toriyama M, Lee C, Taylor SP, Duran I, Cohn DH, Bruel AL, Tabler JM, Drew K, Kelly MR, Kim S, Park TJ, Braun DA, Pierquin G, Biver A, Wagner K, Malfroot A, Panigrahi I, Franco B, Al-Lami HA, Yeung Y, Choi YJ, University of Washington Center for Mendelian Genomics, Duffourd Y, Faivre L, Rivière JB, Chen J, Liu KJ, Marcotte EM, Hildebrandt F, Thauvin-Robinet C, Krakow D, Jackson PK, Wallingford JB., Nat Genet. June 1, 2016; 48 (6): 648-56.   


Control of Emi2 activity and stability through Mos-mediated recruitment of PP2A., Wu JQ, Hansen DV, Guo Y, Wang MZ, Tang W, Freel CD, Tung JJ, Jackson PK, Kornbluth S., Proc Natl Acad Sci U S A. October 16, 2007; 104 (42): 16564-9.


Translational unmasking of Emi2 directs cytostatic factor arrest in meiosis II., Tung JJ, Padmanabhan K, Hansen DV, Richter JD, Jackson PK., Cell Cycle. March 15, 2007; 6 (6): 725-31.


Emi2 at the crossroads: where CSF meets MPF., Hansen DV, Pomerening JR, Summers MK, Miller JJ, Ferrell JE, Jackson PK., Cell Cycle. March 15, 2007; 6 (6): 732-8.


A role for Cdc2- and PP2A-mediated regulation of Emi2 in the maintenance of CSF arrest., Wu Q, Guo Y, Yamada A, Perry JA, Wang MZ, Araki M, Freel CD, Tung JJ, Tang W, Margolis SS, Jackson PK, Yamano H, Asano M, Kornbluth S., Curr Biol. February 6, 2007; 17 (3): 213-24.


Climbing the Greatwall to mitosis., Jackson PK., Mol Cell. April 21, 2006; 22 (2): 156-7.


Dual degradation signals control Gli protein stability and tumor formation., Huntzicker EG, Estay IS, Zhen H, Lokteva LA, Jackson PK, Oro AE., Genes Dev. February 1, 2006; 20 (3): 276-81.


The evi5 oncogene regulates cyclin accumulation by stabilizing the anaphase-promoting complex inhibitor emi1., Eldridge AG, Loktev AV, Hansen DV, Verschuren EW, Reimann JD, Jackson PK., Cell. January 27, 2006; 124 (2): 367-80.


CaMKII and polo-like kinase 1 sequentially phosphorylate the cytostatic factor Emi2/XErp1 to trigger its destruction and meiotic exit., Hansen DV, Tung JJ, Jackson PK., Proc Natl Acad Sci U S A. January 17, 2006; 103 (3): 608-13.


Inhibition of the anaphase-promoting complex by the Xnf7 ubiquitin ligase., Casaletto JB, Nutt LK, Wu Q, Moore JD, Etkin LD, Jackson PK, Hunt T, Kornbluth S., J Cell Biol. April 11, 2005; 169 (1): 61-71.   


A role for the anaphase-promoting complex inhibitor Emi2/XErp1, a homolog of early mitotic inhibitor 1, in cytostatic factor arrest of Xenopus eggs., Tung JJ, Hansen DV, Ban KH, Loktev AV, Summers MK, Adler JR, Jackson PK., Proc Natl Acad Sci U S A. March 22, 2005; 102 (12): 4318-23.


Emi1 class of proteins regulate entry into meiosis and the meiosis I to meiosis II transition in Xenopus oocytes., Tung JJ, Jackson PK., Cell Cycle. March 1, 2005; 4 (3): 478-82.


Plk1 regulates activation of the anaphase promoting complex by phosphorylating and triggering SCFbetaTrCP-dependent destruction of the APC Inhibitor Emi1., Hansen DV, Loktev AV, Ban KH, Jackson PK., Mol Biol Cell. December 1, 2004; 15 (12): 5623-34.


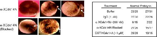
Xenopus Cdc14 alpha/beta are localized to the nucleolus and centrosome and are required for embryonic cell division., Kaiser BK, Nachury MV, Gardner BE, Jackson PK., BMC Cell Biol. July 13, 2004; 5 27.   


Prophase destruction of Emi1 by the SCF(betaTrCP/Slimb) ubiquitin ligase activates the anaphase promoting complex to allow progression beyond prometaphase., Margottin-Goguet F, Hsu JY, Loktev A, Hsieh HM, Reimann JD, Jackson PK., Dev Cell. June 1, 2003; 4 (6): 813-26.


The E3 ubiquitin ligase GREUL1 anteriorizes ectoderm during Xenopus development., Borchers AG, Hufton AL, Eldridge AG, Jackson PK, Harland RM, Baker JC., Dev Biol. November 15, 2002; 251 (2): 395-408.   


E2F-dependent accumulation of hEmi1 regulates S phase entry by inhibiting APC(Cdh1)., Hsu JY, Reimann JD, Sørensen CS, Lukas J, Jackson PK., Nat Cell Biol. May 1, 2002; 4 (5): 358-66.


Emi1 is required for cytostatic factor arrest in vertebrate eggs., Reimann JD, Jackson PK., Nature. April 25, 2002; 416 (6883): 850-4.


Emi1 regulates the anaphase-promoting complex by a different mechanism than Mad2 proteins., Reimann JD, Gardner BE, Margottin-Goguet F, Jackson PK., Genes Dev. December 15, 2001; 15 (24): 3278-85.


Triggering ubiquitination of a CDK inhibitor at origins of DNA replication., Furstenthal L, Swanson C, Kaiser BK, Eldridge AG, Jackson PK., Nat Cell Biol. August 1, 2001; 3 (8): 715-22.


Emi1 is a mitotic regulator that interacts with Cdc20 and inhibits the anaphase promoting complex., Reimann JD, Freed E, Hsu JY, Kramer ER, Peters JM, Jackson PK., Cell. June 1, 2001; 105 (5): 645-55.


Cyclin E uses Cdc6 as a chromatin-associated receptor required for DNA replication., Furstenthal L, Kaiser BK, Swanson C, Jackson PK., J Cell Biol. March 19, 2001; 152 (6): 1267-78.   


Nuclear accumulation of cyclin E/Cdk2 triggers a concentration-dependent switch for the destruction of p27Xic1., Swanson C, Ross J, Jackson PK., Proc Natl Acad Sci U S A. July 5, 2000; 97 (14): 7796-801.


Identification of novel F-box proteins in Xenopus laevis., Regan-Reimann JD, Duong QV, Jackson PK., Curr Biol. October 21, 1999; 9 (20): R762-3.   


Components of an SCF ubiquitin ligase localize to the centrosome and regulate the centrosome duplication cycle., Freed E, Lacey KR, Huie P, Lyapina SA, Deshaies RJ, Stearns T, Jackson PK., Genes Dev. September 1, 1999; 13 (17): 2242-57.


Cyclin-dependent kinase control of centrosome duplication., Lacey KR, Jackson PK, Stearns T., Proc Natl Acad Sci U S A. March 16, 1999; 96 (6): 2817-22.


Early events in DNA replication require cyclin E and are blocked by p21CIP1., Jackson PK, Chevalier S, Philippe M, Kirschner MW., J Cell Biol. August 1, 1995; 130 (4): 755-69.


Separate domains of p21 involved in the inhibition of Cdk kinase and PCNA., Chen J, Jackson PK, Kirschner MW, Dutta A., Nature. March 23, 1995; 374 (6520): 386-8.

???pagination.result.page??? 1