???pagination.result.count???
OTUD3: A Lys6 and Lys63 specific deubiquitinase in early vertebrate development. , Job F, Mai C, Villavicencio-Lorini P, Herfurth J, Neuhaus H , Hoffmann K, Pfirrmann T , Hollemann T ., Biochim Biophys Acta Gene Regul Mech. March 1, 2023; 1866 (1): 194901.
Cilia-localized GID/CTLH ubiquitin ligase complex regulates protein homeostasis of sonic hedgehog signaling components. , Hantel F, Liu H , Fechtner L, Neuhaus H , Ding J, Arlt D, Walentek P , Villavicencio-Lorini P, Gerhardt C, Hollemann T , Pfirrmann T ., J Cell Sci. May 1, 2022; 135 (9):
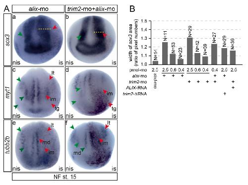
Interplay of TRIM2 E3 Ubiquitin Ligase and ALIX/ESCRT Complex: Control of Developmental Plasticity During Early Neurogenesis. , Lokapally A, Neuhaus H , Herfurth J, Hollemann T ., Cells. July 20, 2020; 9 (7):
A multichannel computer-driven system to raise aquatic embryos under selectable hypoxic conditions. , Metikala S, Neuhaus H , Hollemann T ., Hypoxia (Auckl). January 12, 2018; 6 1-9.
lrpap1 as a specific marker of proximal pronephric kidney tubuli in Xenopus laevis embryos. , Neuhaus H , Gaul F, Hollemann T ., Int J Dev Biol. January 1, 2018; 62 (4-5): 319-324.
Xenopus laevis neuronal cell adhesion molecule ( nrcam): plasticity of a CAM in the developing nervous system. , Lokapally A, Metikala S, Hollemann T ., Dev Genes Evol. January 1, 2017; 227 (1): 61-67.
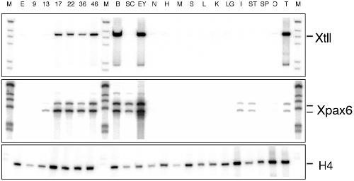
Hedgehog-dependent E3-ligase Midline1 regulates ubiquitin-mediated proteasomal degradation of Pax6 during visual system development. , Pfirrmann T , Jandt E, Ranft S, Lokapally A, Neuhaus H , Perron M , Hollemann T ., Proc Natl Acad Sci U S A. September 6, 2016; 113 (36): 10103-8.
Suppression of vascular network formation by chronic hypoxia and prolyl-hydroxylase 2 ( phd2) deficiency during vertebrate development. , Metikala S, Neuhaus H , Hollemann T ., Angiogenesis. April 1, 2016; 19 (2): 119-31.
Expressional characterization of mRNA (guanine-7) methyltransferase ( rnmt) during early development of Xenopus laevis. , Lokapally A, Metikala S, Hollemann T ., Int J Dev Biol. January 1, 2016; 60 (1-3): 65-9.
Molecular mechanism of CHRDL1-mediated X-linked megalocornea in humans and in Xenopus model. , Pfirrmann T , Emmerich D, Ruokonen P, Quandt D, Buchen R, Fischer-Zirnsak B, Hecht J, Krawitz P, Meyer P, Klopocki E, Stricker S , Lausch E, Seliger B, Hollemann T , Reinhard T, Auw-Haedrich C, Zabel B, Hoffmann K, Villavicencio-Lorini P., Hum Mol Genet. June 1, 2015; 24 (11): 3119-32.
RMND5 from Xenopus laevis is an E3 ubiquitin-ligase and functions in early embryonic forebrain development. , Pfirrmann T , Villavicencio-Lorini P, Subudhi AK, Menssen R, Wolf DH, Hollemann T ., PLoS One. March 16, 2015; 10 (3): e0120342.
Xenopus cadherin 5 is specifically expressed in endothelial cells of the developing vascular system. , Neuhaus H , Metikala S, Hollemann T ., Int J Dev Biol. January 1, 2014; 58 (1): 51-6.
sox4 and sox11 function during Xenopus laevis eye development. , Cizelsky W, Hempel A, Metzig M, Tao S, Hollemann T , Kühl M , Kühl SJ., PLoS One. July 1, 2013; 8 (7): e69372.
SOMA: a single oligonucleotide mutagenesis and cloning approach. , Pfirrmann T , Lokapally A, Andréasson C, Ljungdahl P, Hollemann T ., PLoS One. June 4, 2013; 8 (6): e64870.
Xenopus er71 is involved in vascular development. , Neuhaus H , Müller F , Hollemann T ., Dev Dyn. December 1, 2010; 239 (12): 3436-45.
The role of Xenopus Rx-L in photoreceptor cell determination. , Wu HY, Perron M , Hollemann T ., Dev Biol. March 15, 2009; 327 (2): 352-65.
Xeya3 regulates survival and proliferation of neural progenitor cells within the anterior neural plate of Xenopus embryos. , Kriebel M, Müller F , Hollemann T ., Dev Dyn. June 1, 2007; 236 (6): 1526-34.
Manipulation of hedgehog signaling in Xenopus by means of embryo microinjection and application of chemical inhibitors. , Hollemann T , Tadjuidje E , Koebernick K, Pieler T ., Methods Mol Biol. January 1, 2007; 397 35-45.
Cholesterol homeostasis in development: the role of Xenopus 7-dehydrocholesterol reductase ( Xdhcr7) in neural development. , Tadjuidje E , Hollemann T ., Dev Dyn. August 1, 2006; 235 (8): 2095-110.
Olfactory and lens placode formation is controlled by the hedgehog-interacting protein ( Xhip) in Xenopus. , Cornesse Y, Pieler T , Hollemann T ., Dev Biol. January 15, 2005; 277 (2): 296-315.
Outer dense fibre protein 2 ( ODF2) is a self-interacting centrosomal protein with affinity for microtubules. , Donkor FF, Mönnich M, Czirr E, Hollemann T , Hoyer-Fender S., J Cell Sci. September 15, 2004; 117 (Pt 20): 4643-51.
Isolation and characterization of the Xenopus HIVEP gene family. , Dürr U, Henningfeld KA , Hollemann T , Knöchel W , Pieler T ., Eur J Biochem. March 1, 2004; 271 (6): 1135-44.
A restrictive role for Hedgehog signalling during otic specification in Xenopus. , Koebernick K, Hollemann T , Pieler T ., Dev Biol. August 15, 2003; 260 (2): 325-38.
Cell-autonomous and signal-dependent expression of liver and intestine marker genes in pluripotent precursor cells from Xenopus embryos. , Chen Y , Jürgens K, Hollemann T , Claussen M, Ramadori G, Pieler T ., Mech Dev. March 1, 2003; 120 (3): 277-88.
Molecular cloning and expression of the chromatin insulator protein CTCF in Xenopus laevis. , Burke LJ, Hollemann T , Pieler T , Renkawitz R., Mech Dev. April 1, 2002; 113 (1): 95-8.
Xpitx3: a member of the Rieg/Pitx gene family expressed during pituitary and lens formation in Xenopus laevis. , Pommereit D, Pieler T , Hollemann T ., Mech Dev. April 1, 2001; 102 (1-2): 255-7.
Tissue-specific expression of an Ornithine decarboxylase paralogue, XODC2, in Xenopus laevis. , Cao Y , Zhao H , Hollemann T , Chen Y , Grunz H ., Mech Dev. April 1, 2001; 102 (1-2): 243-6.
Molecular cloning and expression analysis of the Hedgehog receptors XPtc1 and XSmo in Xenopus laevis. , Koebernick K, Hollemann T , Pieler T ., Mech Dev. February 1, 2001; 100 (2): 303-8.
Xnkx-2.1: a homeobox gene expressed during early forebrain, lung and thyroid development in Xenopus laevis. , Hollemann T , Pieler T ., Dev Genes Evol. November 1, 2000; 210 (11): 579-81.
Structure and expression of Xenopus karyopherin-beta3: definition of a novel synexpression group related to ribosome biogenesis. , Wischnewski J, Sölter M, Chen Y , Hollemann T , Pieler T ., Mech Dev. July 1, 2000; 95 (1-2): 245-8.
Expanded retina territory by midbrain transformation upon overexpression of Six6 ( Optx2) in Xenopus embryos. , Bernier G, Panitz F, Zhou X , Hollemann T , Gruss P, Pieler T ., Mech Dev. May 1, 2000; 93 (1-2): 59-69.
Cloning and expression of xSix3, the Xenopus homologue of murine Six3. , Zhou X , Hollemann T , Pieler T , Gruss P., Mech Dev. March 1, 2000; 91 (1-2): 327-30.
Planar signalling is not sufficient to generate a specific anterior/ posterior neural pattern in pseudoexogastrula explants from Xenopus and Triturus. , Chen Y , Hollemann T , Pieler T , Grunz H ., Mech Dev. January 1, 2000; 90 (1): 53-63.
Vax1, a novel homeobox-containing gene, directs development of the basal forebrain and visual system. , Hallonet M, Hollemann T , Pieler T , Gruss P., Genes Dev. December 1, 1999; 13 (23): 3106-14.
Characterization of a subfamily of related winged helix genes, XFD-12/12'/12" (XFLIP), during Xenopus embryogenesis. , Sölter M, Köster M, Hollemann T , Brey A, Pieler T , Knöchel W ., Mech Dev. December 1, 1999; 89 (1-2): 161-5.
Xpitx-1: a homeobox gene expressed during pituitary and cement gland formation of Xenopus embryos. , Hollemann T , Pieler T ., Mech Dev. November 1, 1999; 88 (2): 249-52.
Characterization of the Ets-type protein ER81 in Xenopus embryos. , Chen Y , Hollemann T , Grunz H , Pieler T ., Mech Dev. January 1, 1999; 80 (1): 67-76.
Regionalized metabolic activity establishes boundaries of retinoic acid signalling. , Hollemann T , Chen Y , Grunz H , Pieler T ., EMBO J. December 15, 1998; 17 (24): 7361-72.
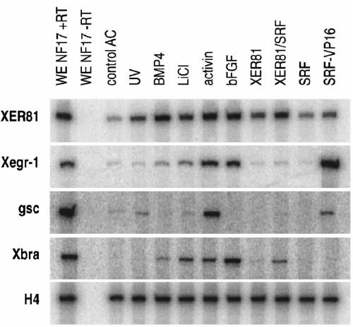
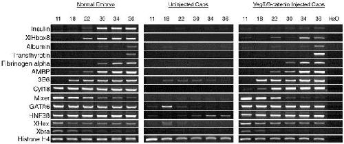
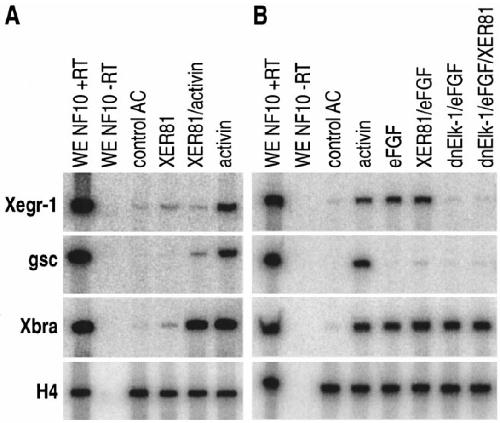
The Spemann organizer-expressed zinc finger gene Xegr-1 responds to the MAP kinase/Ets- SRF signal transduction pathway. , Panitz F, Krain B, Hollemann T , Nordheim A, Pieler T ., EMBO J. August 3, 1998; 17 (15): 4414-25.
Vax1 is a novel homeobox-containing gene expressed in the developing anterior ventral forebrain. , Hallonet M, Hollemann T , Wehr R, Jenkins NA, Copeland NG, Pieler T , Gruss P., Development. July 1, 1998; 125 (14): 2599-610.
The Xenopus homologue of the Drosophila gene tailless has a function in early eye development. , Hollemann T , Bellefroid E, Pieler T ., Development. July 1, 1998; 125 (13): 2425-32.
X- MyT1, a Xenopus C2HC-type zinc finger protein with a regulatory function in neuronal differentiation. , Bellefroid EJ , Bourguignon C, Hollemann T , Ma Q, Anderson DJ, Kintner C , Pieler T ., Cell. December 27, 1996; 87 (7): 1191-202.
Xenopus Xsal-1, a vertebrate homolog of the region specific homeotic gene spalt of Drosophila. , Hollemann T , Schuh R, Pieler T , Stick R ., Mech Dev. March 1, 1996; 55 (1): 19-32.
Zinc finger proteins in early Xenopus development. , Hollemann T , Bellefroid E , Stick R , Pieler T ., Int J Dev Biol. February 1, 1996; 40 (1): 291-5.