Click here to close Hello! We notice that you are using Internet Explorer, which is not supported by Xenbase and may cause the site to display incorrectly. We suggest using a current version of Chrome, FireFox, or Safari.

Profile Publications (8)
XB-PERS-1993

Publications By Eyal Bengal

???pagination.result.count???

???pagination.result.page??? 1


Myocyte enhancer factor 2D regulates ectoderm specification and adhesion properties of animal cap cells in the early Xenopus embryo., Katz Imberman S, Kolpakova A, Keren A, Bengal E., FEBS J. August 1, 2015; 282 (15): 2930-47.


Transcriptional regulation of mesoderm genes by MEF2D during early Xenopus development., Kolpakova A, Katz S, Keren A, Rojtblat A, Bengal E., PLoS One. January 1, 2013; 8 (7): e69693.   


Studying MAP Kinase pathways during early development of Xenopus laevis., Keren A, Bengal E., Methods Mol Biol. January 1, 2010; 661 409-20.


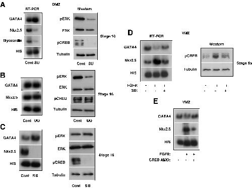
Neural ectoderm-secreted FGF initiates the expression of Nkx2.5 in cardiac progenitors via a p38 MAPK/CREB pathway., Keren-Politansky A, Keren A, Bengal E., Dev Biol. November 15, 2009; 335 (2): 374-84.   


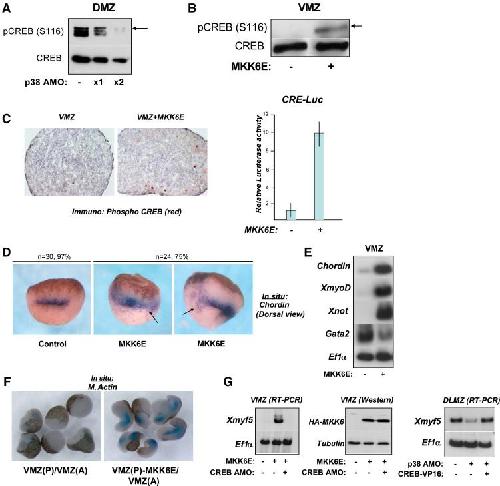
A p38 MAPK-CREB pathway functions to pattern mesoderm in Xenopus., Keren A, Keren-Politansky A, Bengal E., Dev Biol. October 1, 2008; 322 (1): 86-94.   


The p38 MAPK signaling pathway: a major regulator of skeletal muscle development., Keren A, Tamir Y, Bengal E., Mol Cell Endocrinol. June 27, 2006; 252 (1-2): 224-30.


p38 MAP kinase regulates the expression of XMyf5 and affects distinct myogenic programs during Xenopus development., Keren A, Bengal E, Frank D., Dev Biol. December 1, 2005; 288 (1): 73-86.   


MAP kinase converts MyoD into an instructive muscle differentiation factor in Xenopus., Zetser A, Frank D, Bengal E., Dev Biol. December 1, 2001; 240 (1): 168-81.   

???pagination.result.page??? 1