Click here to close Hello! We notice that you are using Internet Explorer, which is not supported by Xenbase and may cause the site to display incorrectly. We suggest using a current version of Chrome, FireFox, or Safari.

Profile Publications (13)
XB-PERS-1966

Publications By David G Wilkinson

???pagination.result.count???

???pagination.result.page??? 1


Balancing cell behavior at boundaries., Wilkinson DG., J Cell Biol. March 16, 2015; 208 (6): 659-60.   


Ephrins make eyes with planar cell polarity., Poliakov A, Wilkinson DG., Nat Cell Biol. January 1, 2006; 8 (1): 7-8.


A vertebrate crossveinless 2 homologue modulates BMP activity and neural crest cell migration., Coles E, Christiansen J, Economou A, Bronner-Fraser M, Wilkinson DG., Development. November 1, 2004; 131 (21): 5309-17.   


The zebrafish Hairy/Enhancer-of-split-related gene her6 is segmentally expressed during the early development of hindbrain and somites., Pasini A, Henrique D, Wilkinson DG., Mech Dev. February 1, 2001; 100 (2): 317-21.


Molecular control of neural crest formation, migration and differentiation., Christiansen JH, Coles EG, Wilkinson DG., Curr Opin Cell Biol. December 1, 2000; 12 (6): 719-24.


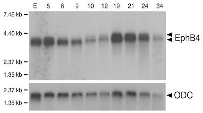
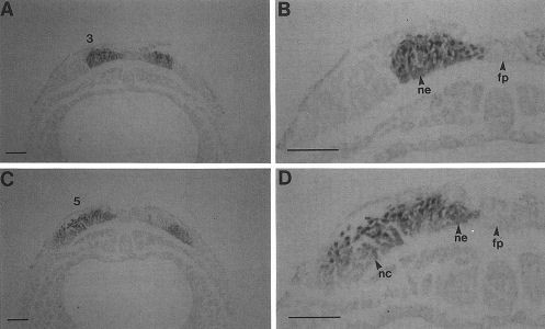
Comparative analysis of embryonic gene expression defines potential interaction sites for Xenopus EphB4 receptors with ephrin-B ligands., Helbling PM, Saulnier DM, Robinson V, Christiansen JH, Wilkinson DG, Brändli AW., Dev Dyn. December 1, 1999; 216 (4-5): 361-73.   


The EphA4 and EphB1 receptor tyrosine kinases and ephrin-B2 ligand regulate targeted migration of branchial neural crest cells., Smith A, Robinson V, Patel K, Wilkinson DG., Curr Biol. August 1, 1997; 7 (8): 561-70.   


Expression of truncated Sek-1 receptor tyrosine kinase disrupts the segmental restriction of gene expression in the Xenopus and zebrafish hindbrain., Xu Q, Alldus G, Holder N, Wilkinson DG., Development. December 1, 1995; 121 (12): 4005-16.   


The structure and expression of the Xenopus Krox-20 gene: conserved and divergent patterns of expression in rhombomeres and neural crest., Bradley LC, Snape A, Bhatt S, Wilkinson DG., Mech Dev. January 1, 1993; 40 (1-2): 73-84.   


Cloning and developmental expression of Sna, a murine homologue of the Drosophila snail gene., Nieto MA, Bennett MF, Sargent MG, Wilkinson DG., Development. September 1, 1992; 116 (1): 227-37.


Molecular mechanisms of pattern formation in the vertebrate hindbrain., Nieto MA, Bradley LC, Hunt P, Das Gupta R, Krumlauf R, Wilkinson DG., Ciba Found Symp. January 1, 1992; 165 92-102; discussion 102-7.


Conserved segmental expression of Krox-20 in the vertebrate hindbrain and its relationship to lineage restriction., Nieto MA, Bradley LC, Wilkinson DG., Development. January 1, 1991; Suppl 2 59-62.   


Expression pattern of the mouse T gene and its role in mesoderm formation., Wilkinson DG, Bhatt S, Herrmann BG., Nature. February 15, 1990; 343 (6259): 657-9.

???pagination.result.page??? 1