Click here to close Hello! We notice that you are using Internet Explorer, which is not supported by Xenbase and may cause the site to display incorrectly. We suggest using a current version of Chrome, FireFox, or Safari.

Profile Publications (57)
XB-PERS-1957

Publications By Koji Tamura

???pagination.result.count???

???pagination.result.page??? 1 2 ???pagination.result.next???


Correlation Between Subgenome-biased DNA Loss and DNA Transposon Activation Following Hybridization in the Allotetraploid Xenopus Frogs., Suda K, Suzuki T, Hayashi S, Okuyama H, Tsukamoto D, Matsuo T, Tamura K, Ito M., Genome Biol Evol. September 3, 2024; 16 (9):   


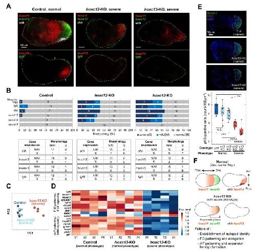
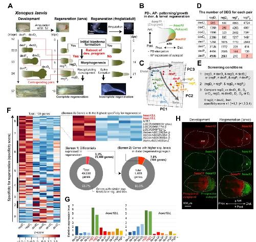
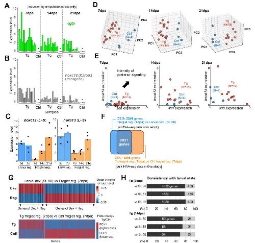
hoxc12/c13 as key regulators for rebooting the developmental program in Xenopus limb regeneration., Kawasumi-Kita A, Lee SW, Ohtsuka D, Niimi K, Asakura Y, Kitajima K, Sakane Y, Tamura K, Ochi H, Suzuki KT, Morishita Y., Nat Commun. April 22, 2024; 15 (1): 3340.   


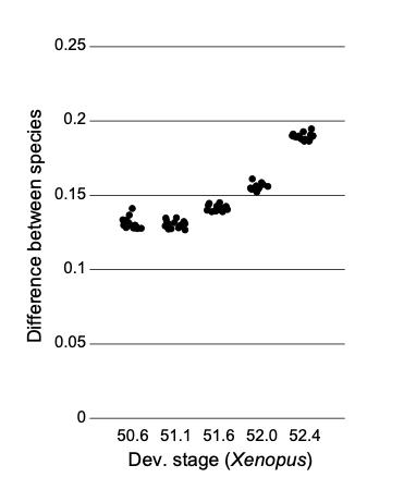
An archetype and scaling of developmental tissue dynamics across species., Morishita Y, Lee SW, Suzuki T, Yokoyama H, Kamei Y, Tamura K, Kawasumi-Kita A., Nat Commun. December 11, 2023; 14 (1): 8199.   


Promoter generation for the chimeric sex-determining gene dm-W in Xenopus frogs., Hayashi S, Tamura K, Tsukamoto D, Ogita Y, Takamatsu N, Ito M., Genes Genet Syst. September 5, 2023; 98 (2): 53-60.   


The shh limb enhancer is activated in patterned limb regeneration but not in hypomorphic limb regeneration in Xenopus laevis., Tada R, Higashidate T, Amano T, Ishikawa S, Yokoyama C, Kobari S, Nara S, Ishida K, Kawaguchi A, Ochi H, Ogino H, Yakushiji-Kaminatsui N, Sakamoto J, Kamei Y, Tamura K, Yokoyama H., Dev Biol. May 27, 2023; 500 22-30.   


Neofunctionalization of a Noncoding Portion of a DNA Transposon in the Coding Region of the Chimerical Sex-Determining Gene dm-W in Xenopus Frogs., Hayashi S, Suda K, Fujimura F, Fujikawa M, Tamura K, Tsukamoto D, Evans BJ, Takamatsu N, Ito M., Mol Biol Evol. July 2, 2022; 39 (7):   


Activation of DNA Transposons and Evolution of piRNA Genes Through Interspecific Hybridization in Xenopus Frogs., Suda K, Hayashi SR, Tamura K, Takamatsu N, Ito M., Front Genet. January 1, 2022; 13 766424.   


Independent pseudogenizations and losses of sox15 during amniote diversification following asymmetric ohnolog evolution., Ogita Y, Tamura K, Mawaribuchi S, Takamatsu N, Ito M., BMC Ecol Evol. June 30, 2021; 21 (1): 134.   


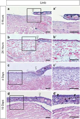
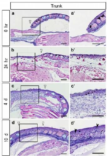
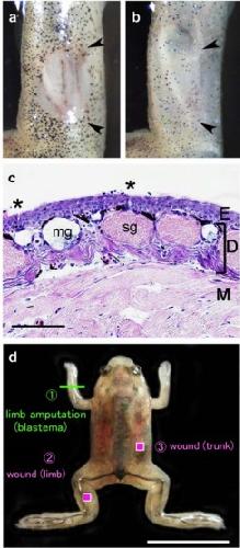
Insights regarding skin regeneration in non-amniote vertebrates: Skin regeneration without scar formation and potential step-up to a higher level of regeneration., Abe G, Hayashi T, Yoshida K, Yoshida T, Kudoh H, Sakamoto J, Konishi A, Kamei Y, Takeuchi T, Tamura K, Yokoyama H., Semin Cell Dev Biol. April 1, 2020; 100 109-121.   


PACT/PRKRA and p53 regulate transcriptional activity of DMRT1., Fujitani K, Otomo A, Nagayama Y, Tachibana T, Kato R, Kawashima Y, Kodera Y, Kato T, Takada S, Tamura K, Takamatsu N, Ito M., Genet Mol Biol. March 30, 2020; 43 (2): e20190017.   


Skin regeneration of amphibians: A novel model for skin regeneration as adults., Yokoyama H, Kudo N, Todate M, Shimada Y, Suzuki M, Tamura K., Dev Growth Differ. August 1, 2018; 60 (6): 316-325.   


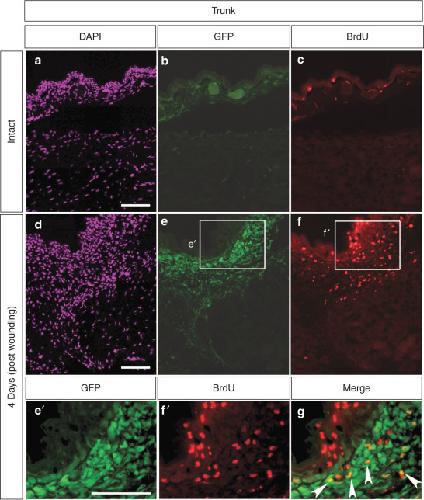
Cells from subcutaneous tissues contribute to scarless skin regeneration in Xenopus laevis froglets., Otsuka-Yamaguchi R, Kawasumi-Kita A, Kudo N, Izutsu Y, Tamura K, Yokoyama H., Dev Dyn. August 1, 2017; 246 (8): 585-597.   


Masculinization-Related Genes and Cell-Mass Structures During Early Gonadal Differentiation in the African Clawed Frog Xenopus laevis., Wada M, Fujitani K, Tamura K, Mawaribuchi S, Kamata Y, Takamatsu N, Ito M., Zoolog Sci. April 1, 2017; 34 (2): 105-111.


Application of local gene induction by infrared laser-mediated microscope and temperature stimulator to amphibian regeneration study., Kawasumi-Kita A, Hayashi T, Kobayashi T, Nagayama C, Hayashi S, Kamei Y, Morishita Y, Takeuchi T, Tamura K, Yokoyama H., Dev Growth Differ. December 1, 2015; 57 (9): 601-13.   


Epigenetic modification maintains intrinsic limb-cell identity in Xenopus limb bud regeneration., Hayashi S, Kawaguchi A, Uchiyama I, Kawasumi-Kita A, Kobayashi T, Nishide H, Tsutsumi R, Tsuru K, Inoue T, Ogino H, Agata K, Tamura K, Yokoyama H., Dev Biol. October 15, 2015; 406 (2): 271-82.   


Evidence for an amphibian sixth digit., Hayashi S, Kobayashi T, Yano T, Kamiyama N, Egawa S, Seki R, Takizawa K, Okabe M, Yokoyama H, Tamura K., Zoological Lett. June 15, 2015; 1 17.   


Apoptosis and differentiation of Xenopus tail-derived myoblasts by thyroid hormone., Tamura K, Takayama S, Ishii T, Mawaribuchi S, Takamatsu N, Ito M., J Mol Endocrinol. June 1, 2015; 54 (3): 185-92.


Roles of Hippo signaling pathway in size control of organ regeneration., Hayashi S, Yokoyama H, Tamura K., Dev Growth Differ. May 1, 2015; 57 (4): 341-51.


Erythropoietin protects red blood cells from TRAIL1-induced cell death during red blood cell transition in Xenopus laevis., Tamura K, Takamatsu N, Ito M., Mol Cell Biochem. January 1, 2015; 398 (1-2): 73-81.


Transcriptional regulators in the Hippo signaling pathway control organ growth in Xenopus tadpole tail regeneration., Hayashi S, Ochi H, Ogino H, Kawasumi A, Kamei Y, Tamura K, Yokoyama H., Dev Biol. December 1, 2014; 396 (1): 31-41.   


Yap1, transcription regulator in the Hippo signaling pathway, is required for Xenopus limb bud regeneration., Hayashi S, Tamura K, Yokoyama H., Dev Biol. April 1, 2014; 388 (1): 57-67.


Wound healing in mammals and amphibians: toward limb regeneration in mammals., Kawasumi A, Sagawa N, Hayashi S, Yokoyama H, Tamura K., Curr Top Microbiol Immunol. January 1, 2013; 367 33-49.


Apoptotic and survival signaling mediated through death receptor members during metamorphosis in the African clawed frog Xenopus laevis., Ito M, Tamura K, Mawaribuchi S, Takamatsu N., Gen Comp Endocrinol. May 1, 2012; 176 (3): 461-4.


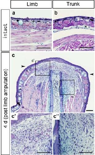
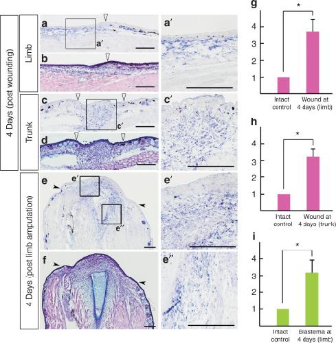
Prx-1 expression in Xenopus laevis scarless skin-wound healing and its resemblance to epimorphic regeneration., Yokoyama H, Maruoka T, Aruga A, Amano T, Ohgo S, Shiroishi T, Tamura K., J Invest Dermatol. December 1, 2011; 131 (12): 2477-85.   


Different requirement for Wnt/β-catenin signaling in limb regeneration of larval and adult Xenopus., Yokoyama H, Maruoka T, Ochi H, Aruga A, Ohgo S, Ogino H, Tamura K., PLoS One. January 1, 2011; 6 (7): e21721.   


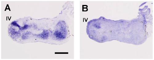
Analysis of hoxa11 and hoxa13 expression during patternless limb regeneration in Xenopus., Ohgo S, Itoh A, Suzuki M, Satoh A, Yokoyama H, Tamura K., Dev Biol. February 15, 2010; 338 (2): 148-57.   


Tumor necrosis factor-related apoptosis-inducing ligand 1 (TRAIL1) enhances the transition of red blood cells from the larval to adult type during metamorphosis in Xenopus., Tamura K, Mawaribuchi S, Yoshimoto S, Shiba T, Takamatsu N, Ito M., Blood. January 28, 2010; 115 (4): 850-9.


Effects of activation of hedgehog signaling on patterning, growth, and differentiation in Xenopus froglet limb regeneration., Yakushiji N, Suzuki M, Satoh A, Ide H, Tamura K., Dev Dyn. August 1, 2009; 238 (8): 1887-96.   


Repatterning in amphibian limb regeneration: A model for study of genetic and epigenetic control of organ regeneration., Yakushiji N, Yokoyama H, Tamura K., Semin Cell Dev Biol. July 1, 2009; 20 (5): 565-74.   


Xenopus W-linked DM-W induces Foxl2 and Cyp19 expression during ovary formation., Okada E, Yoshimoto S, Ikeda N, Kanda H, Tamura K, Shiba T, Takamatsu N, Ito M., Sex Dev. January 1, 2009; 3 (1): 38-42.


Tumor necrosis factor-alpha attenuates thyroid hormone-induced apoptosis in vascular endothelial cell line XLgoo established from Xenopus tadpole tails., Mawaribuchi S, Tamura K, Okano S, Takayama S, Yaoita Y, Shiba T, Takamatsu N, Ito M., Endocrinology. July 1, 2008; 149 (7): 3379-89.


A W-linked DM-domain gene, DM-W, participates in primary ovary development in Xenopus laevis., Yoshimoto S, Okada E, Umemoto H, Tamura K, Uno Y, Nishida-Umehara C, Matsuda Y, Takamatsu N, Shiba T, Ito M., Proc Natl Acad Sci U S A. February 19, 2008; 105 (7): 2469-74.


Mitf contributes to melanosome distribution and melanophore dendricity., Kawasaki A, Kumasaka M, Satoh A, Suzuki M, Tamura K, Goto T, Asashima M, Yamamoto H., Pigment Cell Melanoma Res. February 1, 2008; 21 (1): 56-62.


Correlation between Shh expression and DNA methylation status of the limb-specific Shh enhancer region during limb regeneration in amphibians., Yakushiji N, Suzuki M, Satoh A, Sagai T, Shiroishi T, Kobayashi H, Sasaki H, Ide H, Tamura K., Dev Biol. December 1, 2007; 312 (1): 171-82.   


Transgenic Xenopus with prx1 limb enhancer reveals crucial contribution of MEK/ERK and PI3K/AKT pathways in blastema formation during limb regeneration., Suzuki M, Satoh A, Ide H, Tamura K., Dev Biol. April 15, 2007; 304 (2): 675-86.   


Characterization of Xenopus digits and regenerated limbs of the froglet., Satoh A, Endo T, Abe M, Yakushiji N, Ohgo S, Tamura K, Ide H., Dev Dyn. December 1, 2006; 235 (12): 3316-26.   


Expression and promoter analysis of Xenopus DMRT1 and functional characterization of the transactivation property of its protein., Yoshimoto S, Okada E, Oishi T, Numagami R, Umemoto H, Tamura K, Kanda H, Shiba T, Takamatsu N, Ito M., Dev Growth Differ. December 1, 2006; 48 (9): 597-603.   


Xenopus death-domain-containing proteins FADD and RIP1 synergistically activate JNK and NF-kappaB., Ishizawa YH, Tamura K, Yamaguchi T, Matsumoto K, Komiyama M, Takamatsu N, Shiba T, Ito M., Biol Cell. August 1, 2006; 98 (8): 465-78.


Limb regeneration in Xenopus laevis froglet., Suzuki M, Yakushiji N, Nakada Y, Satoh A, Ide H, Tamura K., ScientificWorldJournal. May 12, 2006; 6 Suppl 1 26-37.   


Analysis of scleraxis and dermo-1 genes in a regenerating limb of Xenopus laevis., Satoh A, Nakada Y, Suzuki M, Tamura K, Ide H., Dev Dyn. April 1, 2006; 235 (4): 1065-73.   


Characteristics of initiation and early events for muscle development in the Xenopus limb bud., Satoh A, Sakamaki K, Ide H, Tamura K., Dev Dyn. December 1, 2005; 234 (4): 846-57.   


Nerve-dependent and -independent events in blastema formation during Xenopus froglet limb regeneration., Suzuki M, Satoh A, Ide H, Tamura K., Dev Biol. October 1, 2005; 286 (1): 361-75.   


Joint development in Xenopus laevis and induction of segmentations in regenerating froglet limb (spike)., Satoh A, Suzuki M, Amano T, Tamura K, Ide H., Dev Dyn. August 1, 2005; 233 (4): 1444-53.   


Muscle formation in regenerating Xenopus froglet limb., Satoh A, Ide H, Tamura K., Dev Dyn. June 1, 2005; 233 (2): 337-46.   


Xenopus death receptor-M1 and -M2, new members of the tumor necrosis factor receptor superfamily, trigger apoptotic signaling by differential mechanisms., Tamura K, Noyama T, Ishizawa YH, Takamatsu N, Shiba T, Ito M., J Biol Chem. February 27, 2004; 279 (9): 7629-35.   


Anteroposterior axis formation in Xenopus limb bud recombinants: a model of pattern formation during limb regeneration., Yokoyama H, Tamura K, Ide H., Dev Dyn. November 1, 2002; 225 (3): 277-88.   


FGF-10 stimulates limb regeneration ability in Xenopus laevis., Yokoyama H, Ide H, Tamura K., Dev Biol. May 1, 2001; 233 (1): 72-9.   


An epidermal signal regulates Lmx-1 expression and dorsal-ventral pattern during Xenopus limb regeneration., Matsuda H, Yokoyama H, Endo T, Tamura K, Ide H., Dev Biol. January 15, 2001; 229 (2): 351-62.   


Analysis of gene expressions during Xenopus forelimb regeneration., Endo T, Tamura K, Ide H., Dev Biol. April 15, 2000; 220 (2): 296-306.   


Mesenchyme with fgf-10 expression is responsible for regenerative capacity in Xenopus limb buds., Yokoyama H, Yonei-Tamura S, Endo T, Izpisúa Belmonte JC, Tamura K, Ide H., Dev Biol. March 1, 2000; 219 (1): 18-29.   

???pagination.result.page??? 1 2 ???pagination.result.next???