Click here to close Hello! We notice that you are using Internet Explorer, which is not supported by Xenbase and may cause the site to display incorrectly. We suggest using a current version of Chrome, FireFox, or Safari.

Profile Publications (83)
XB-PERS-1950

Publications By J Julian Blow

???pagination.result.count???

???pagination.result.page??? 1 2 ???pagination.result.next???


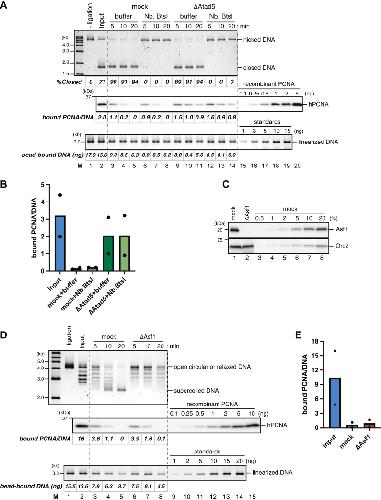
The Atad5 RFC-like complex is the major unloader of proliferating cell nuclear antigen in Xenopus egg extracts., Kawasoe Y, Shimokawa S, Gillespie PJ, Blow JJ, Tsurimoto T, Takahashi TS., J Biol Chem. January 21, 2023; 300 (1): 105588.   


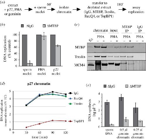
The role of DDK and Treslin-MTBP in coordinating replication licensing and pre-initiation complex formation., Volpi I, Gillespie PJ, Chadha GS, Blow JJ., Open Biol. October 1, 2021; 11 (10): 210121.   


The High-Affinity Interaction between ORC and DNA that Is Required for Replication Licensing Is Inhibited by 2-Arylquinolin-4-Amines., Gardner NJ, Gillespie PJ, Carrington JT, Shanks EJ, McElroy SP, Haagensen EJ, Frearson JA, Woodland A, Blow JJ., Cell Chem Biol. August 17, 2017; 24 (8): 981-992.e4.   


Reversal of DDK-Mediated MCM Phosphorylation by Rif1-PP1 Regulates Replication Initiation and Replisome Stability Independently of ATR/Chk1., Alver RC, Chadha GS, Gillespie PJ, Blow JJ., Cell Rep. March 7, 2017; 18 (10): 2508-2520.   


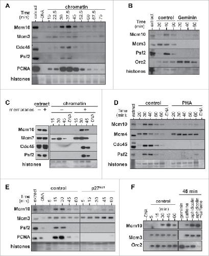
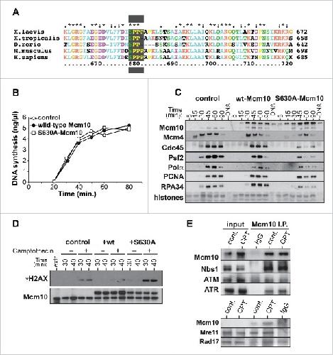
Xenopus Mcm10 is a CDK-substrate required for replication fork stability., Chadha GS, Gambus A, Gillespie PJ, Blow JJ., Cell Cycle. August 17, 2016; 15 (16): 2183-2195.   


Direct non transcriptional role of NF-Y in DNA replication., Benatti P, Belluti S, Miotto B, Neusiedler J, Dolfini D, Drac M, Basile V, Schwob E, Mantovani R, Blow JJ, Imbriano C., Biochim Biophys Acta. April 1, 2016; 1863 (4): 673-85.


Cell Cycle Synchronization in Xenopus Egg Extracts., Gillespie PJ, Neusiedler J, Creavin K, Chadha GS, Blow JJ., Methods Mol Biol. January 1, 2016; 1342 101-47.


Xenopus cell-free extracts and their contribution to the study of DNA replication and other complex biological processes., Blow JJ, Laskey RA., Int J Dev Biol. January 1, 2016; 60 (7-8-9): 201-207.


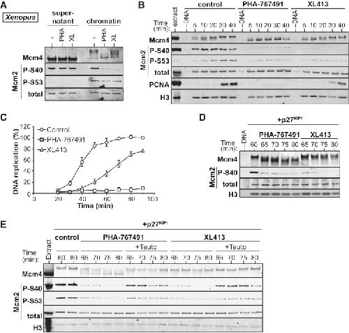
Xenopus Cdc7 executes its essential function early in S phase and is counteracted by checkpoint-regulated protein phosphatase 1., Poh WT, Chadha GS, Gillespie PJ, Kaldis P, Blow JJ., Open Biol. January 8, 2014; 4 (1): 130138.   


The Geminin and Idas coiled coils preferentially form a heterodimer that inhibits Geminin function in DNA replication licensing., Caillat C, Pefani DE, Gillespie PJ, Taraviras S, Blow JJ, Lygerou Z, Perrakis A., J Biol Chem. November 1, 2013; 288 (44): 31624-34.   


Mcm8 and Mcm9 form a dimeric complex in Xenopus laevis egg extract that is not essential for DNA replication initiation., Gambus A, Blow JJ., Cell Cycle. April 15, 2013; 12 (8): 1225-32.   


Preparation and use of Xenopus egg extracts to study DNA replication and chromatin associated proteins., Gillespie PJ, Gambus A, Blow JJ., Methods. June 1, 2012; 57 (2): 203-13.   


Optimal placement of origins for DNA replication., Karschau J, Blow JJ, de Moura AP., Phys Rev Lett. February 3, 2012; 108 (5): 058101.


Dynamic interactions of high Cdt1 and geminin levels regulate S phase in early Xenopus embryos., Kisielewska J, Blow JJ., Development. January 1, 2012; 139 (1): 63-74.   


CDC-48/p97 coordinates CDT-1 degradation with GINS chromatin dissociation to ensure faithful DNA replication., Franz A, Orth M, Pirson PA, Sonneville R, Blow JJ, Gartner A, Stemmann O, Hoppe T., Mol Cell. October 7, 2011; 44 (1): 85-96.


Biphasic chromatin binding of histone chaperone FACT during eukaryotic chromatin DNA replication., Kundu LR, Seki M, Watanabe N, Murofushi H, Furukohri A, Waga S, Score AJ, Blow JJ, Horikoshi M, Enomoto T, Tada S., Biochim Biophys Acta. June 1, 2011; 1813 (6): 1129-36.


MCM2-7 form double hexamers at licensed origins in Xenopus egg extract., Gambus A, Khoudoli GA, Jones RC, Blow JJ., J Biol Chem. April 1, 2011; 286 (13): 11855-64.   


Evidence for a mammalian late-G1 phase inhibitor of replication licensing distinct from geminin or Cdk activity., Sasaki T, Li A, Gillespie PJ, Blow JJ, Gilbert DM., Nucleus. January 1, 2011; 2 (5): 455-64.


Clusters, factories and domains: The complex structure of S-phase comes into focus., Gillespie PJ, Blow JJ., Cell Cycle. August 15, 2010; 9 (16): 3218-26.


Replication factory activation can be decoupled from the replication timing program by modulating Cdk levels., Thomson AM, Gillespie PJ, Blow JJ., J Cell Biol. January 25, 2010; 188 (2): 209-21.   


Quaternary structure of the human Cdt1-Geminin complex regulates DNA replication licensing., De Marco V, Gillespie PJ, Li A, Karantzelis N, Christodoulou E, Klompmaker R, van Gerwen S, Fish A, Petoukhov MV, Iliou MS, Lygerou Z, Medema RH, Blow JJ, Svergun DI, Taraviras S, Perrakis A., Proc Natl Acad Sci U S A. November 24, 2009; 106 (47): 19807-12.   


Rapid induction of pluripotency genes after exposure of human somatic cells to mouse ES cell extracts., Bru T, Clarke C, McGrew MJ, Sang HM, Wilmut I, Blow JJ., Exp Cell Res. August 15, 2008; 314 (14): 2634-42.


Temporal profiling of the chromatin proteome reveals system-wide responses to replication inhibition., Khoudoli GA, Gillespie PJ, Stewart G, Andersen JS, Swedlow JR, Blow JJ., Curr Biol. June 3, 2008; 18 (11): 838-43.   


PTIP/Swift is required for efficient PCNA ubiquitination in response to DNA damage., Göhler T, Munoz IM, Rouse J, Blow JJ., DNA Repair (Amst). May 3, 2008; 7 (5): 775-87.


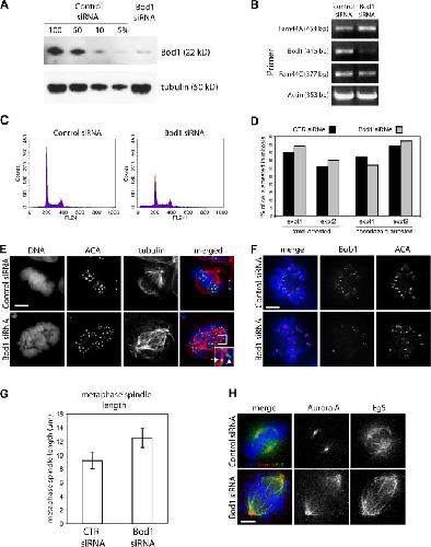
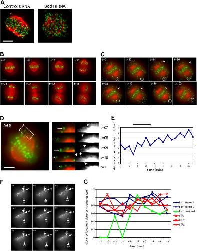
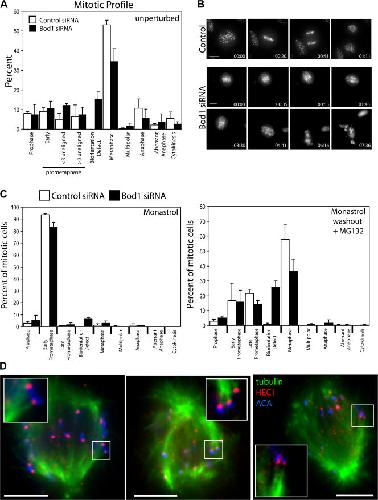
Bod1, a novel kinetochore protein required for chromosome biorientation., Porter IM, McClelland SE, Khoudoli GA, Hunter CJ, Andersen JS, McAinsh AD, Blow JJ, Swedlow JR., J Cell Biol. October 22, 2007; 179 (2): 187-97.   


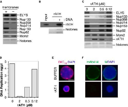
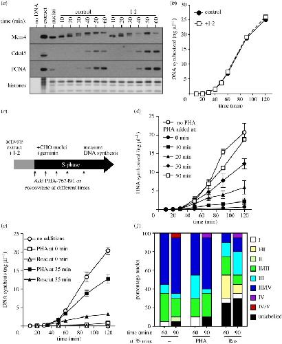
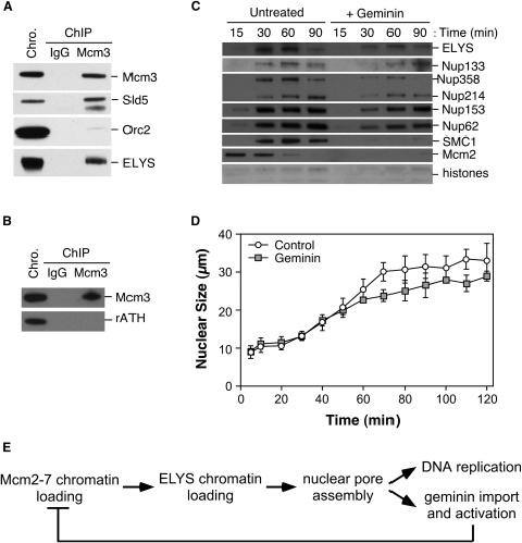
ELYS/MEL-28 chromatin association coordinates nuclear pore complex assembly and replication licensing., Gillespie PJ, Khoudoli GA, Stewart G, Swedlow JR, Blow JJ., Curr Biol. October 9, 2007; 17 (19): 1657-62.   


The elusive determinants of replication origins., Costa S, Blow JJ., EMBO Rep. April 1, 2007; 8 (4): 332-4.


Deregulated replication licensing causes DNA fragmentation consistent with head-to-tail fork collision., Davidson IF, Li A, Blow JJ., Mol Cell. November 3, 2006; 24 (3): 433-43.   


Excess Mcm2-7 license dormant origins of replication that can be used under conditions of replicative stress., Woodward AM, Göhler T, Luciani MG, Oehlmann M, Ge X, Gartner A, Jackson DA, Blow JJ., J Cell Biol. June 5, 2006; 173 (5): 673-83.   


Cdt1 downregulation by proteolysis and geminin inhibition prevents DNA re-replication in Xenopus., Li A, Blow JJ., EMBO J. January 26, 2005; 24 (2): 395-404.


Functional domains of the Xenopus replication licensing factor Cdt1., Ferenbach A, Li A, Brito-Martins M, Blow JJ., Nucleic Acids Res. January 12, 2005; 33 (1): 316-24.   


Characterization of a novel ATR-dependent, Chk1-independent, intra-S-phase checkpoint that suppresses initiation of replication in Xenopus., Luciani MG, Oehlmann M, Blow JJ., J Cell Sci. December 1, 2004; 117 (Pt 25): 6019-30.


DNA replication licensing in somatic and germ cells., Eward KL, Obermann EC, Shreeram S, Loddo M, Fanshawe T, Williams C, Jung HI, Prevost AT, Blow JJ, Stoeber K, Williams GH., J Cell Sci. November 15, 2004; 117 (Pt 24): 5875-86.


A Xenopus Dbf4 homolog is required for Cdc7 chromatin binding and DNA replication., Jares P, Luciani MG, Blow JJ., BMC Mol Biol. June 28, 2004; 5 5.   


The role of Cdc6 in ensuring complete genome licensing and S phase checkpoint activation., Oehlmann M, Score AJ, Blow JJ., J Cell Biol. April 26, 2004; 165 (2): 181-90.   


Negative regulation of geminin by CDK-dependent ubiquitination controls replication licensing., Li A, Blow JJ., Cell Cycle. April 1, 2004; 3 (4): 443-5.


Non-proteolytic inactivation of geminin requires CDK-dependent ubiquitination., Li A, Blow JJ., Nat Cell Biol. March 1, 2004; 6 (3): 260-7.


Geminin becomes activated as an inhibitor of Cdt1/RLF-B following nuclear import., Hodgson B, Li A, Tada S, Blow JJ., Curr Biol. April 16, 2002; 12 (8): 678-83.


Mammalian nuclei become licensed for DNA replication during late telophase., Dimitrova DS, Prokhorova TA, Blow JJ, Todorov IT, Gilbert DM., J Cell Sci. January 1, 2002; 115 (Pt 1): 51-9.


Control of chromosomal DNA replication in the early Xenopus embryo., Blow JJ., EMBO J. July 2, 2001; 20 (13): 3293-7.


Use of peptides from p21 (Waf1/Cip1) to investigate PCNA function in Xenopus egg extracts., Mattock H, Jares P, Zheleva DI, Lane DP, Warbrick E, Blow JJ., Exp Cell Res. May 1, 2001; 265 (2): 242-51.


Repression of origin assembly in metaphase depends on inhibition of RLF-B/Cdt1 by geminin., Tada S, Li A, Maiorano D, Méchali M, Blow JJ., Nat Cell Biol. February 1, 2001; 3 (2): 107-13.


Replication origins in Xenopus egg extract Are 5-15 kilobases apart and are activated in clusters that fire at different times., Blow JJ, Gillespie PJ, Francis D, Jackson DA., J Cell Biol. January 8, 2001; 152 (1): 15-25.   


Reconstitution of licensed replication origins on Xenopus sperm nuclei using purified proteins., Gillespie PJ, Li A, Blow JJ., BMC Biochem. January 1, 2001; 2 15.   


Xenopus cdc7 function is dependent on licensing but not on XORC, XCdc6, or CDK activity and is required for XCdc45 loading., Jares P, Blow JJ., Genes Dev. June 15, 2000; 14 (12): 1528-40.


Cell cycle. A new check on issuing the licence., Blow JJ, Tada S., Nature. April 6, 2000; 404 (6778): 560-1.


Interaction of Xenopus Cdc2 x cyclin A1 with the origin recognition complex., Romanowski P, Marr J, Madine MA, Rowles A, Blow JJ, Gautier J, Laskey RA., J Biol Chem. February 11, 2000; 275 (6): 4239-43.


The replication capacity of intact mammalian nuclei in Xenopus egg extracts declines with quiescence, but the residual DNA synthesis is independent of Xenopus MCM proteins., Sun W, Hola M, Pedley K, Tada S, Blow JJ, Todorov IT, Kearsey SE, Brooks RF., J Cell Sci. February 1, 2000; 113 ( Pt 4) 683-95.


Sequential MCM/P1 subcomplex assembly is required to form a heterohexamer with replication licensing activity., Prokhorova TA, Blow JJ., J Biol Chem. January 28, 2000; 275 (4): 2491-8.


Nucleoplasmin-mediated chromatin remodelling is required for Xenopus sperm nuclei to become licensed for DNA replication., Gillespie PJ, Blow JJ., Nucleic Acids Res. January 15, 2000; 28 (2): 472-80.

???pagination.result.page??? 1 2 ???pagination.result.next???