Click here to close Hello! We notice that you are using Internet Explorer, which is not supported by Xenbase and may cause the site to display incorrectly. We suggest using a current version of Chrome, FireFox, or Safari.

Profile Publications (9)
XB-PERS-1931

Publications By Alexis GRIMALDI

???pagination.result.count???

???pagination.result.page??? 1


Crosstalk between corticosterone and triiodothyronine signaling in Xenopus tropicalis hindlimb buds., Grimaldi A, Rigolet M, Blugeon C, Buisine N, Sachs LM., Dev Biol. February 2, 2026; 533 1-15.   


A Mixture of Chemicals Found in Human Amniotic Fluid Disrupts Brain Gene Expression and Behavior in Xenopus laevis., Leemans M, Spirhanzlova P, Couderq S, Le Mével S, Grimaldi A, Duvernois-Berthet E, Demeneix B, Fini JB., Int J Mol Sci. January 30, 2023; 24 (3):   


Transcriptome and Methylome Analysis Reveal Complex Cross-Talks between Thyroid Hormone and Glucocorticoid Signaling at Xenopus Metamorphosis., Buisine N, Grimaldi A, Jonchere V, Rigolet M, Blugeon C, Hamroune J, Sachs LM., Cells. September 9, 2021; 10 (9):   


Xenopus tropicalis Genome Re-Scaffolding and Re-Annotation Reach the Resolution Required for In Vivo ChIA-PET Analysis., Buisine N, Ruan X, Bilesimo P, Grimaldi A, Alfama G, Ariyaratne P, Mulawadi F, Chen J, Sung WK, Liu ET, Demeneix BA, Ruan Y, Sachs LM., PLoS One. September 4, 2015; 10 (9): e0137526.   


Encoding the microtubule structure: Allosteric interactions between the microtubule +TIP complex master regulators and TOG-domain proteins., Grimaldi AD, Zanic M, Kaverina I., Cell Cycle. January 1, 2015; 14 (9): 1375-8.


Mechanisms of thyroid hormone receptor action during development: lessons from amphibian studies., Grimaldi A, Buisine N, Miller T, Shi YB, Sachs LM., Biochim Biophys Acta. July 1, 2013; 1830 (7): 3882-92.


High-throughput sequencing will metamorphose the analysis of thyroid hormone receptor function during amphibian development., Grimaldi AG, Buisine N, Bilesimo P, Sachs LM., Curr Top Dev Biol. January 1, 2013; 103 277-303.


Muscle development and differentiation in the urodele Ambystoma mexicanum., Banfi S, Monti L, Acquati F, Tettamanti G, de Eguileor M, Grimaldi A., Dev Growth Differ. May 1, 2012; 54 (4): 489-502.


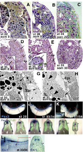
Hedgehog regulation of superficial slow muscle fibres in Xenopus and the evolution of tetrapod trunk myogenesis., Grimaldi A, Tettamanti G, Martin BL, Gaffield W, Pownall ME, Hughes SM., Development. July 1, 2004; 131 (14): 3249-62.   

???pagination.result.page??? 1