Click here to close Hello! We notice that you are using Internet Explorer, which is not supported by Xenbase and may cause the site to display incorrectly. We suggest using a current version of Chrome, FireFox, or Safari.

Profile Publications (29)
XB-PERS-1751

Publications By Matthew Kofron

???pagination.result.count???

???pagination.result.page??? 1


Foxi2 and Sox3 are master transcription regulators that control ectoderm germ layer specification in Xenopus., Hendrickson CL, Blitz IL, Hussein A, Paraiso KD, Cho JS, Klymkowsky MW, Kofron MJ, Cho KWY., PLoS Biol. November 4, 2025; 23 (11): e3003476.   


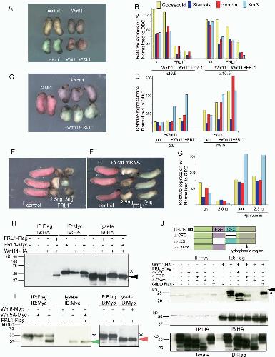
Disrupted endosomal trafficking of the Vangl-Celsr polarity complex underlies congenital anomalies in Xenopus trachea-esophageal morphogenesis., Edwards NA, Rankin SA, Kashyap A, Warren A, Agricola ZN, Kenny AP, Kofron M, Shen Y, Chung WK, Zorn AM., Dev Cell. May 22, 2025; 60 (18): 2487-2502.e4.   


Endosome-Mediated Epithelial Remodeling Downstream of Hedgehog-Gli Is Required for Tracheoesophageal Separation., Nasr T, Mancini P, Rankin SA, Edwards NA, Agricola ZN, Kenny AP, Kinney JL, Daniels K, Vardanyan J, Han L, Trisno SL, Cha SW, Wells JM, Kofron MJ, Zorn AM., Dev Cell. December 16, 2019; 51 (6): 665-674.e6.   


Nodal signalling in Xenopus: the role of Xnr5 in left/right asymmetry and heart development., Tadjuidje E, Kofron M, Mir A, Wylie C, Heasman J, Cha SW., Open Biol. August 1, 2016; 6 (8):   


CRIM1 complexes with ß-catenin and cadherins, stabilizes cell-cell junctions and is critical for neural morphogenesis., Ponferrada VG, Fan J, Vallance JE, Hu S, Mamedova A, Rankin SA, Kofron M, Zorn AM, Hegde RS, Lang RA., PLoS One. January 1, 2012; 7 (3): e32635.   


Foxi2 is an animally localized maternal mRNA in Xenopus, and an activator of the zygotic ectoderm activator Foxi1e., Cha SW, McAdams M, Kormish J, Wylie C, Kofron M., PLoS One. January 1, 2012; 7 (7): e41782.   


A gene regulatory network controlling hhex transcription in the anterior endoderm of the organizer., Rankin SA, Kormish J, Kofron M, Jegga A, Zorn AM., Dev Biol. March 15, 2011; 351 (2): 297-310.   


Long- and short-range signals control the dynamic expression of an animal hemisphere-specific gene in Xenopus., Mir A, Kofron M, Heasman J, Mogle M, Lang S, Birsoy B, Wylie C., Dev Biol. March 1, 2008; 315 (1): 161-72.   


The role of FoxC1 in early Xenopus development., Cha JY, Birsoy B, Kofron M, Mahoney E, Lang S, Wylie C, Heasman J., Dev Dyn. October 1, 2007; 236 (10): 2731-41.   


Wnt11/beta-catenin signaling in both oocytes and early embryos acts through LRP6-mediated regulation of axin., Kofron M, Birsoy B, Houston D, Tao Q, Wylie C, Heasman J., Development. February 1, 2007; 134 (3): 503-13.   


FoxI1e activates ectoderm formation and controls cell position in the Xenopus blastula., Mir A, Kofron M, Zorn AM, Bajzer M, Haque M, Heasman J, Wylie CC., Development. February 1, 2007; 134 (4): 779-88.   


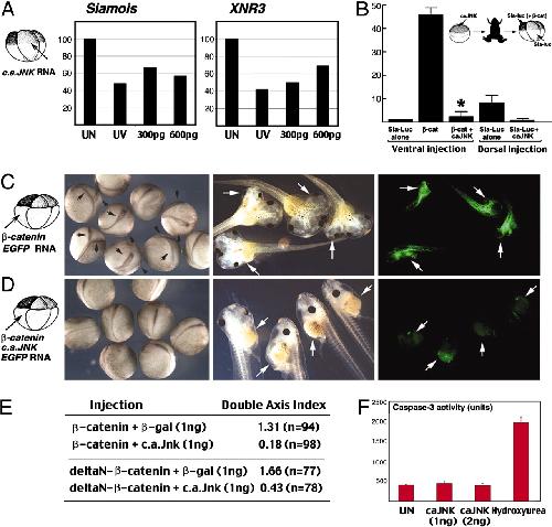
Jun NH2-terminal kinase (JNK) prevents nuclear beta-catenin accumulation and regulates axis formation in Xenopus embryos., Liao G, Tao Q, Kofron M, Chen JS, Schloemer A, Davis RJ, Hsieh JC, Wylie C, Heasman J, Kuan CY., Proc Natl Acad Sci U S A. October 31, 2006; 103 (44): 16313-8.   


Global analysis of the transcriptional network controlling Xenopus endoderm formation., Sinner D, Kirilenko P, Rankin S, Wei E, Howard L, Kofron M, Heasman J, Woodland HR, Zorn AM., Development. May 1, 2006; 133 (10): 1955-66.   


Maternal XTcf1 and XTcf4 have distinct roles in regulating Wnt target genes., Standley HJ, Destrée O, Kofron M, Wylie C, Heasman J., Dev Biol. January 15, 2006; 289 (2): 318-28.   


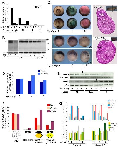
Vg 1 is an essential signaling molecule in Xenopus development., Birsoy B, Kofron M, Schaible K, Wylie C, Heasman J., Development. January 1, 2006; 133 (1): 15-20.   


Maternal wnt11 activates the canonical wnt signaling pathway required for axis formation in Xenopus embryos., Tao Q, Yokota C, Puck H, Kofron M, Birsoy B, Yan D, Asashima M, Wylie CC, Lin X, Heasman J., Cell. March 25, 2005; 120 (6): 857-71.   


New roles for FoxH1 in patterning the early embryo., Kofron M, Puck H, Standley H, Wylie C, Old R, Whitman M, Heasman J., Development. October 1, 2004; 131 (20): 5065-78.   


The role of Mixer in patterning the early Xenopus embryo., Kofron M, Wylie C, Heasman J., Development. May 1, 2004; 131 (10): 2431-41.


A novel role for a nodal-related protein; Xnr3 regulates convergent extension movements via the FGF receptor., Yokota C, Kofron M, Zuck M, Houston DW, Isaacs H, Asashima M, Wylie CC, Heasman J., Development. May 1, 2003; 130 (10): 2199-212.   


The roles of three signaling pathways in the formation and function of the Spemann Organizer., Xanthos JB, Kofron M, Tao Q, Schaible K, Wylie C, Heasman J., Development. September 1, 2002; 129 (17): 4027-43.   


Repression of organizer genes in dorsal and ventral Xenopus cells mediated by maternal XTcf3., Houston DW, Kofron M, Resnik E, Langland R, Destree O, Wylie C, Heasman J., Development. September 1, 2002; 129 (17): 4015-25.   


Plakoglobin is required for maintenance of the cortical actin skeleton in early Xenopus embryos and for cdc42-mediated wound healing., Kofron M, Heasman J, Lang SA, Wylie CC., J Cell Biol. August 19, 2002; 158 (4): 695-708.   


The role of maternal axin in patterning the Xenopus embryo., Kofron M, Klein P, Zhang F, Houston DW, Schaible K, Wylie C, Heasman J., Dev Biol. September 1, 2001; 237 (1): 183-201.


Maternal VegT is the initiator of a molecular network specifying endoderm in Xenopus laevis., Xanthos JB, Kofron M, Wylie C, Heasman J., Development. January 1, 2001; 128 (2): 167-80.


Beta-catenin signaling activity dissected in the early Xenopus embryo: a novel antisense approach., Heasman J, Kofron M, Wylie C., Dev Biol. June 1, 2000; 222 (1): 124-34.   


Mesoderm induction in Xenopus is a zygotic event regulated by maternal VegT via TGFbeta growth factors., Kofron M, Demel T, Xanthos J, Lohr J, Sun B, Sive H, Osada S, Wright C, Wylie C, Heasman J., Development. December 1, 1999; 126 (24): 5759-70.


Interaction of an Overexpressed gamma-Tubulin with Microtubules In Vivo and In Vitro., Kofron M, Nadezdina E, Vassilev A, Matuliene J, Essner R, Kato J, Kuriyama R., Zoolog Sci. August 1, 1998; 15 (4): 477-87.


The roles of maternal alpha-catenin and plakoglobin in the early Xenopus embryo., Kofron M, Spagnuolo A, Klymkowsky M, Wylie C, Heasman J., Development. April 1, 1997; 124 (8): 1553-60.   


Maternal beta-catenin establishes a 'dorsal signal' in early Xenopus embryos., Wylie C, Kofron M, Payne C, Anderson R, Hosobuchi M, Joseph E, Heasman J., Development. October 1, 1996; 122 (10): 2987-96.   

???pagination.result.page??? 1