Click here to close Hello! We notice that you are using Internet Explorer, which is not supported by Xenbase and may cause the site to display incorrectly. We suggest using a current version of Chrome, FireFox, or Safari.

Profile Publications (42)
XB-PERS-1295

Publications By Pierre D McCrea

???pagination.result.count???

???pagination.result.page??? 1


A catenin of the plakophilin-subfamily, Pkp3, responds to canonical-Wnt pathway components and signals., Hong JY, Zapata J, Blackburn A, Baumert R, Bae SM, Ji H, Nam HJ, Miller RK, McCrea PD., Biochem Biophys Res Commun. July 23, 2021; 563 31-39.   


Divergent roles of the Wnt/PCP Formin Daam1 in renal ciliogenesis., Corkins ME, Krneta-Stankic V, Kloc M, McCrea PD, Gladden AB, Miller RK., PLoS One. August 30, 2019; 14 (8): e0221698.   


p120-catenin regulates REST and CoREST, and modulates mouse embryonic stem cell differentiation., Lee M, Ji H, Furuta Y, Park JI, McCrea PD., J Cell Sci. September 15, 2014; 127 (Pt 18): 4037-51.


DIPA-family coiled-coils bind conserved isoform-specific head domain of p120-catenin family: potential roles in hydrocephalus and heterotopia., Markham NO, Doll CA, Dohn MR, Miller RK, Yu H, Coffey RJ, McCrea PD, Gamse JT, Reynolds AB., Mol Biol Cell. September 1, 2014; 25 (17): 2592-603.   


Plakophilin-3 catenin associates with the ETV1/ER81 transcription factor to positively modulate gene activity., Munoz WA, Lee M, Miller RK, Ahmed Z, Ji H, Link TM, Lee GR, Kloc M, Ladbury JE, McCrea PD., PLoS One. January 1, 2014; 9 (1): e86784.   


Lung epithelial branching program antagonizes alveolar differentiation., Chang DR, Martinez Alanis D, Miller RK, Ji H, Akiyama H, McCrea PD, Chen J., Proc Natl Acad Sci U S A. November 5, 2013; 110 (45): 18042-51.   


PAF and EZH2 induce Wnt/β-catenin signaling hyperactivation., Jung HY, Jun S, Lee M, Kim HC, Wang X, Ji H, McCrea PD, Park JI., Mol Cell. October 24, 2013; 52 (2): 193-205.


Beta-catenin versus the other armadillo catenins: assessing our current view of canonical Wnt signaling., Miller RK, Hong JY, Muñoz WA, McCrea PD., Prog Mol Biol Transl Sci. January 1, 2013; 116 387-407.


Upon Wnt stimulation, Rac1 activation requires Rac1 and Vav2 binding to p120-catenin., Valls G, Codina M, Miller RK, Del Valle-Pérez B, Vinyoles M, Caelles C, McCrea PD, García de Herreros A, Duñach M., J Cell Sci. November 15, 2012; 125 (Pt 22): 5288-301.   


Down's-syndrome-related kinase Dyrk1A modulates the p120-catenin-Kaiso trajectory of the Wnt signaling pathway., Hong JY, Park JI, Lee M, Muñoz WA, Miller RK, Ji H, Gu D, Ezan J, Sokol SY, McCrea PD., J Cell Sci. February 1, 2012; 125 (Pt 3): 561-9.   


Plakophilin-3 is required for late embryonic amphibian development, exhibiting roles in ectodermal and neural tissues., Munoz WA, Kloc M, Cho K, Lee M, Hofmann I, Sater A, Vleminckx K, McCrea PD., PLoS One. January 1, 2012; 7 (4): e34342.   


ARVCF depletion cooperates with Tbx1 deficiency in the development of 22q11.2DS-like phenotypes in Xenopus., Tran HT, Delvaeye M, Verschuere V, Descamps E, Crabbe E, Van Hoorebeke L, McCrea P, Adriaens D, Van Roy F, Vleminckx K., Dev Dyn. December 1, 2011; 240 (12): 2680-7.   


Kazrin, and its binding partners ARVCF- and delta-catenin, are required for Xenopus laevis craniofacial development., Cho K, Lee M, Gu D, Munoz WA, Ji H, Kloc M, McCrea PD., Dev Dyn. December 1, 2011; 240 (12): 2601-12.   


Pronephric tubulogenesis requires Daam1-mediated planar cell polarity signaling., Miller RK, Canny SG, Jang CW, Cho K, Ji H, Wagner DS, Jones EA, Habas R, McCrea PD., J Am Soc Nephrol. September 1, 2011; 22 (9): 1654-64.


Caspase-3 cleavage links delta-catenin to the novel nuclear protein ZIFCAT., Gu D, Tonthat NK, Lee M, Ji H, Bhat KP, Hollingsworth F, Aldape KD, Schumacher MA, Zwaka TP, McCrea PD., J Biol Chem. July 1, 2011; 286 (26): 23178-88.


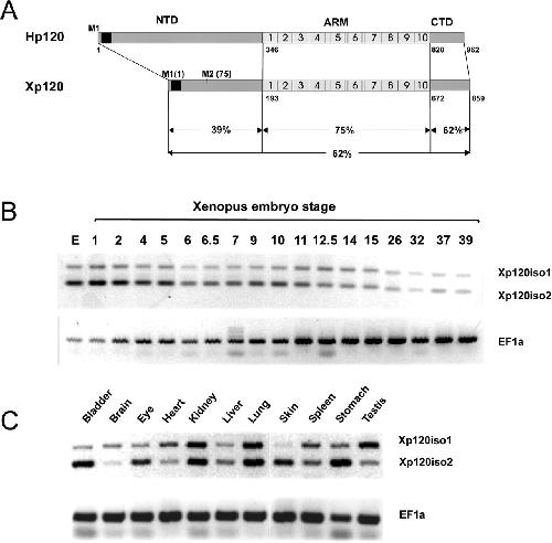
Shared molecular mechanisms regulate multiple catenin proteins: canonical Wnt signals and components modulate p120-catenin isoform-1 and additional p120 subfamily members., Hong JY, Park JI, Cho K, Gu D, Ji H, Artandi SE, McCrea PD., J Cell Sci. December 15, 2010; 123 (Pt 24): 4351-65.


Xenopus Kazrin interacts with ARVCF-catenin, spectrin and p190B RhoGAP, and modulates RhoA activity and epithelial integrity., Cho K, Vaught TG, Ji H, Gu D, Papasakelariou-Yared C, Horstmann N, Jennings JM, Lee M, Sevilla LM, Kloc M, Reynolds AB, Watt FM, Brennan RG, Kowalczyk AP, McCrea PD., J Cell Sci. December 1, 2010; 123 (Pt 23): 4128-44.   


Wnt to build a tube: contributions of Wnt signaling to epithelial tubulogenesis., Miller RK, McCrea PD., Dev Dyn. January 1, 2010; 239 (1): 77-93.


Xenopus delta-catenin is essential in early embryogenesis and is functionally linked to cadherins and small GTPases., Gu D, Sater AK, Ji H, Cho K, Clark M, Stratton SA, Barton MC, Lu Q, McCrea PD., J Cell Sci. November 15, 2009; 122 (Pt 22): 4049-61.   


Telomerase modulates Wnt signalling by association with target gene chromatin., Park JI, Venteicher AS, Hong JY, Choi J, Jun S, Shkreli M, Chang W, Meng Z, Cheung P, Ji H, McLaughlin M, Veenstra TD, Nusse R, McCrea PD, Artandi SE., Nature. July 2, 2009; 460 (7251): 66-72.


Requirement of Wnt/beta-catenin signaling in pronephric kidney development., Lyons JP, Miller RK, Zhou X, Weidinger G, Deroo T, Denayer T, Park JI, Ji H, Hong JY, Li A, Moon RT, Jones EA, Vleminckx K, Vize PD, McCrea PD., Mech Dev. January 1, 2009; 126 (3-4): 142-59.   


Inhibition of cell adhesion by xARVCF indicates a regulatory function at the plasma membrane., Reintsch WE, Mandato CA, McCrea PD, Fagotto F., Dev Dyn. September 1, 2008; 237 (9): 2328-41.   


Inhibition of Wnt signaling by the osteoblast-specific transcription factor Osterix., Zhang C, Cho K, Huang Y, Lyons JP, Zhou X, Sinha K, McCrea PD, de Crombrugghe B., Proc Natl Acad Sci U S A. May 13, 2008; 105 (19): 6936-41.   


G-protein-coupled signals control cortical actin assembly by controlling cadherin expression in the early Xenopus embryo., Tao Q, Nandadasa S, McCrea PD, Heasman J, Wylie C., Development. July 1, 2007; 134 (14): 2651-61.   


Frodo links Dishevelled to the p120-catenin/Kaiso pathway: distinct catenin subfamilies promote Wnt signals., Park JI, Ji H, Jun S, Gu D, Hikasa H, Li L, Sokol SY, McCrea PD., Dev Cell. November 1, 2006; 11 (5): 683-95.


A role for Kaiso-p120ctn complexes in cancer?, van Roy FM, McCrea PD., Nat Rev Cancer. December 1, 2005; 5 (12): 956-64.


Kaiso/p120-catenin and TCF/beta-catenin complexes coordinately regulate canonical Wnt gene targets., Park JI, Kim SW, Lyons JP, Ji H, Nguyen TT, Cho K, Barton MC, Deroo T, Vleminckx K, Moon RT, McCrea PD., Dev Cell. June 1, 2005; 8 (6): 843-54.   


Non-canonical Wnt signals are modulated by the Kaiso transcriptional repressor and p120-catenin., Kim SW, Park JI, Spring CM, Sater AK, Ji H, Otchere AA, Daniel JM, McCrea PD., Nat Cell Biol. December 1, 2004; 6 (12): 1212-20.


p120 catenin is required for morphogenetic movements involved in the formation of the eyes and the craniofacial skeleton in Xenopus., Ciesiolka M, Delvaeye M, Van Imschoot G, Verschuere V, McCrea P, van Roy F, Vleminckx K., J Cell Sci. August 15, 2004; 117 (Pt 18): 4325-39.   


Wnt-4 activates the canonical beta-catenin-mediated Wnt pathway and binds Frizzled-6 CRD: functional implications of Wnt/beta-catenin activity in kidney epithelial cells., Lyons JP, Mueller UW, Ji H, Everett C, Fang X, Hsieh JC, Barth AM, McCrea PD., Exp Cell Res. August 15, 2004; 298 (2): 369-87.


Interactions between Sox9 and beta-catenin control chondrocyte differentiation., Akiyama H, Lyons JP, Mori-Akiyama Y, Yang X, Zhang R, Zhang Z, Deng JM, Taketo MM, Nakamura T, Behringer RR, McCrea PD, de Crombrugghe B., Genes Dev. May 1, 2004; 18 (9): 1072-87.   


Vertebrate development requires ARVCF and p120 catenins and their interplay with RhoA and Rac., Fang X, Ji H, Kim SW, Park JI, Vaught TG, Anastasiadis PZ, Ciesiolka M, McCrea PD., J Cell Biol. April 1, 2004; 165 (1): 87-98.   


Isolation and characterization of XKaiso, a transcriptional repressor that associates with the catenin Xp120(ctn) in Xenopus laevis., Kim SW, Fang X, Ji H, Paulson AF, Daniel JM, Ciesiolka M, van Roy F, McCrea PD., J Biol Chem. March 8, 2002; 277 (10): 8202-8.   


Xarvcf, Xenopus member of the p120 catenin subfamily associating with cadherin juxtamembrane region., Paulson AF, Mooney E, Fang X, Ji H, McCrea PD., J Biol Chem. September 29, 2000; 275 (39): 30124-31.   


A beta-catenin/engrailed chimera selectively suppresses Wnt signaling., Montross WT, Ji H, McCrea PD., J Cell Sci. May 1, 2000; 113 ( Pt 10) 1759-70.


Misexpression of the catenin p120(ctn)1A perturbs Xenopus gastrulation but does not elicit Wnt-directed axis specification., Paulson AF, Fang X, Ji H, Reynolds AB, McCrea PD., Dev Biol. March 15, 1999; 207 (2): 350-63.   


beta-Catenin associates with the actin-bundling protein fascin in a noncadherin complex., Tao YS, Edwards RA, Tubb B, Wang S, Bryan J, McCrea PD., J Cell Biol. September 1, 1996; 134 (5): 1271-81.


Induction of a secondary body axis in Xenopus by antibodies to beta-catenin., McCrea PD, Brieher WM, Gumbiner BM., J Cell Biol. October 1, 1993; 123 (2): 477-84.


Catenins as mediators of the cytoplasmic functions of cadherins., Gumbiner BM, McCrea PD., J Cell Sci Suppl. January 1, 1993; 17 155-8.


The vertebrate adhesive junction proteins beta-catenin and plakoglobin and the Drosophila segment polarity gene armadillo form a multigene family with similar properties., Peifer M, McCrea PD, Green KJ, Wieschaus E, Gumbiner BM., J Cell Biol. August 1, 1992; 118 (3): 681-91.


A homolog of the armadillo protein in Drosophila (plakoglobin) associated with E-cadherin., McCrea PD, Turck CW, Gumbiner B., Science. November 29, 1991; 254 (5036): 1359-61.


Purification of a 92-kDa cytoplasmic protein tightly associated with the cell-cell adhesion molecule E-cadherin (uvomorulin). Characterization and extractability of the protein complex from the cell cytostructure., McCrea PD, Gumbiner BM., J Biol Chem. March 5, 1991; 266 (7): 4514-20.

???pagination.result.page??? 1