Click here to close Hello! We notice that you are using Internet Explorer, which is not supported by Xenbase and may cause the site to display incorrectly. We suggest using a current version of Chrome, FireFox, or Safari.

Profile Publications (99)
XB-PERS-1074

Publications By Walter Knöchel

???pagination.result.count???

???pagination.result.page??? 1 2 ???pagination.result.next???


Pou-V factor Oct25 regulates early morphogenesis in Xenopus laevis., Julier A, Goll C, Korte B, Knöchel W, Wacker SA., Dev Growth Differ. September 1, 2012; 54 (7): 702-16.   


Characterization of Danio rerio Nanog and functional comparison to Xenopus Vents., Schuff M, Siegel D, Philipp M, Bundschu K, Heymann N, Donow C, Knöchel W., Stem Cells Dev. May 20, 2012; 21 (8): 1225-38.


RITA, a novel modulator of Notch signalling, acts via nuclear export of RBP-J., Wacker SA, Alvarado C, von Wichert G, Knippschild U, Wiedenmann J, Clauss K, Nienhaus GU, Hameister H, Baumann B, Borggrefe T, Knöchel W, Oswald F., EMBO J. January 5, 2011; 30 (1): 43-56.


Reversal of Xenopus Oct25 function by disruption of the POU domain structure., Cao Y, Oswald F, Wacker SA, Bundschu K, Knöchel W., J Biol Chem. March 12, 2010; 285 (11): 8408-21.


FoxO genes are dispensable during gastrulation but required for late embryogenesis in Xenopus laevis., Schuff M, Siegel D, Bardine N, Oswald F, Donow C, Knöchel W., Dev Biol. January 15, 2010; 337 (2): 259-73.   


Functional dissection of XDppa2/4 structural domains in Xenopus development., Siegel D, Schuff M, Oswald F, Cao Y, Knöchel W., Mech Dev. December 1, 2009; 126 (11-12): 974-89.   


Two Hoxc6 transcripts are differentially expressed and regulate primary neurogenesis in Xenopus laevis., Bardine N, Donow C, Korte B, Durston AJ, Knöchel W, Wacker SA., Dev Dyn. March 1, 2009; 238 (3): 755-65.   


Oct25 represses transcription of nodal/activin target genes by interaction with signal transducers during Xenopus gastrulation., Cao Y, Siegel D, Oswald F, Knöchel W., J Biol Chem. December 5, 2008; 283 (49): 34168-77.   


IRE1beta is required for mesoderm formation in Xenopus embryos., Yuan L, Cao Y, Oswald F, Knöchel W., Mech Dev. January 1, 2008; 125 (3-4): 207-22.   


Endoplasmic reticulum stress induced by tunicamycin disables germ layer formation in Xenopus laevis embryos., Yuan L, Cao Y, Knöchel W., Dev Dyn. October 1, 2007; 236 (10): 2844-51.   


POU-V factors antagonize maternal VegT activity and beta-Catenin signaling in Xenopus embryos., Cao Y, Siegel D, Donow C, Knöchel S, Yuan L, Knöchel W., EMBO J. June 20, 2007; 26 (12): 2942-54.


A green to red photoconvertible protein as an analyzing tool for early vertebrate development., Wacker SA, Oswald F, Wiedenmann J, Knöchel W., Dev Dyn. February 1, 2007; 236 (2): 473-80.


FoxN3 is required for craniofacial and eye development of Xenopus laevis., Schuff M, Rössner A, Wacker SA, Donow C, Gessert S, Knöchel W., Dev Dyn. January 1, 2007; 236 (1): 226-39.   


The FoxP subclass in Xenopus laevis development., Schön C, Wochnik A, Rössner A, Donow C, Knöchel W., Dev Genes Evol. October 1, 2006; 216 (10): 641-6.


Xenopus POU factors of subclass V inhibit activin/nodal signaling during gastrulation., Cao Y, Siegel D, Knöchel W., Mech Dev. August 1, 2006; 123 (8): 614-25.   


Temporal and spatial expression patterns of FoxN genes in Xenopus laevis embryos., Schuff M, Rössner A, Donow C, Knöchel W., Int J Dev Biol. January 1, 2006; 50 (4): 429-34.   


XBP1 forms a regulatory loop with BMP-4 and suppresses mesodermal and neural differentiation in Xenopus embryos., Cao Y, Knöchel S, Oswald F, Donow C, Zhao H, Knöchel W., Mech Dev. January 1, 2006; 123 (1): 84-96.   


RBP-Jkappa/SHARP recruits CtIP/CtBP corepressors to silence Notch target genes., Oswald F, Winkler M, Cao Y, Astrahantseff K, Bourteele S, Knöchel W, Borggrefe T., Mol Cell Biol. December 1, 2005; 25 (23): 10379-90.


Of Fox and Frogs: Fox (fork head/winged helix) transcription factors in Xenopus development., Pohl BS, Knöchel W., Gene. January 3, 2005; 344 21-32.   


The Fox gene family in Xenopus laevis:FoxI2, FoxM1 and FoxP1 in early development., Pohl BS, Rössner A, Knöchel W., Int J Dev Biol. January 1, 2005; 49 (1): 53-8.   


A downstream enhancer is essential for Xenopus FoxD5 transcription., Schön C, Köster M, Knöchel W., Biochem Biophys Res Commun. December 24, 2004; 325 (4): 1360-6.   


The FoxO-subclass in Xenopus laevis development., Pohl BS, Schön C, Rössner A, Knöchel W., Gene Expr Patterns. December 1, 2004; 5 (2): 187-92.   


The POU factor Oct-25 regulates the Xvent-2B gene and counteracts terminal differentiation in Xenopus embryos., Cao Y, Knöchel S, Donow C, Miethe J, Kaufmann E, Knöchel W., J Biol Chem. October 15, 2004; 279 (42): 43735-43.   


Isolation and developmental expression of Xenopus FoxJ1 and FoxK1., Pohl BS, Knöchel W., Dev Genes Evol. April 1, 2004; 214 (4): 200-5.   


Isolation and characterization of the Xenopus HIVEP gene family., Dürr U, Henningfeld KA, Hollemann T, Knöchel W, Pieler T., Eur J Biochem. March 1, 2004; 271 (6): 1135-44.


Transcriptional regulation of BMP4 synexpression in transgenic Xenopus., Karaulanov E, Knöchel W, Niehrs C., EMBO J. February 25, 2004; 23 (4): 844-56.


SHARP is a novel component of the Notch/RBP-Jkappa signalling pathway., Oswald F, Kostezka U, Astrahantseff K, Bourteele S, Dillinger K, Zechner U, Ludwig L, Wilda M, Hameister H, Knöchel W, Liptay S, Schmid RM., EMBO J. October 15, 2002; 21 (20): 5417-26.


Sequence and expression of FoxB2 (XFD-5) and FoxI1c (XFD-10) in Xenopus embryogenesis., Pohl BS, Knöchel S, Dillinger K, Knöchel W., Mech Dev. September 1, 2002; 117 (1-2): 283-7.   


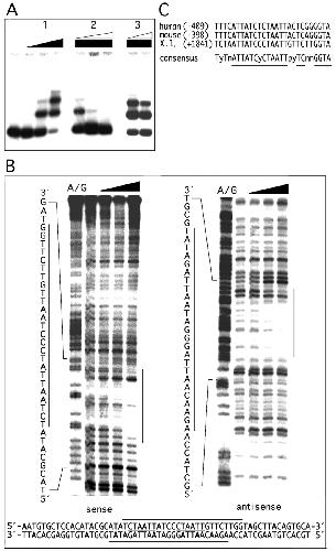
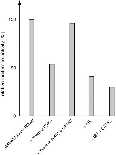
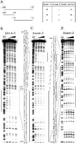
Cooperative interaction of Xvent-2 and GATA-2 in the activation of the ventral homeobox gene Xvent-1B., Friedle H, Knöchel W., J Biol Chem. June 28, 2002; 277 (26): 23872-81.   


Xenopus laevis Stromal cell-derived factor 1: conservation of structure and function during vertebrate development., Braun M, Wunderlin M, Spieth K, Knöchel W, Gierschik P, Moepps B., J Immunol. March 1, 2002; 168 (5): 2340-7.


Temporal and spatial expression patterns of FoxD2 during the early development of Xenopus laevis., Pohl BS, Knöchel W., Mech Dev. February 1, 2002; 111 (1-2): 181-4.   


Autoregulation of Xvent-2B; direct interaction and functional cooperation of Xvent-2 and Smad1., Henningfeld KA, Friedle H, Rastegar S, Knöchel W., J Biol Chem. January 18, 2002; 277 (3): 2097-103.   


Structure and expression of Xenopus tropicalis BMP-2 and BMP-4 genes., Knöchel S, Dillinger K, Köster M, Knöchel W., Mech Dev. November 1, 2001; 109 (1): 79-82.   


Pluripotent cells (stem cells) and their determination and differentiation in early vertebrate embryogenesis., Tiedemann H, Asashima M, Grunz H, Knöchel W., Dev Growth Differ. October 1, 2001; 43 (5): 469-502.


Overexpression of the transcriptional repressor FoxD3 prevents neural crest formation in Xenopus embryos., Pohl BS, Knöchel W., Mech Dev. May 1, 2001; 103 (1-2): 93-106.   


Identification of two regulatory elements within the high mobility group box transcription factor XTCF-4., Pukrop T, Gradl D, Henningfeld KA, Knochel W, Wedlich D, Kuhl M., J Biol Chem. March 23, 2001; 276 (12): 8968-78.


BMP-4 of Xenopus laevis stimulates differentiation of human primary osteoblast-like cells., Mayr-Wohlfart U, Kessler S, Knöchel W, Puhl W, Günther KP., J Bone Joint Surg Br. January 1, 2001; 83 (1): 144-7.


The homeodomain transcription factor Xvent-2 mediates autocatalytic regulation of BMP-4 expression in Xenopus embryos., Schuler-Metz A, Knöchel S, Kaufmann E, Knöchel W., J Biol Chem. November 3, 2000; 275 (44): 34365-74.   


c-Jun (AP-1) activates BMP-4 transcription in Xenopus embryos., Knöchel S, Schuler-Metz A, Knöchel W., Mech Dev. November 1, 2000; 98 (1-2): 29-36.   


Characterization of a Xenopus laevis CXC chemokine receptor 4: implications for hematopoietic cell development in the vertebrate embryo., Moepps B, Braun M, Knöpfle K, Dillinger K, Knöchel W, Gierschik P., Eur J Immunol. October 1, 2000; 30 (10): 2924-34.


Smad1 and Smad4 are components of the bone morphogenetic protein-4 (BMP-4)-induced transcription complex of the Xvent-2B promoter., Henningfeld KA, Rastegar S, Adler G, Knöchel W., J Biol Chem. July 21, 2000; 275 (29): 21827-35.


Activin A signaling directly activates Xenopus winged helix factors XFD-4/4', the orthologues to mammalian MFH-1., Köster M, Dillinger K, Knöchel W., Dev Genes Evol. June 1, 2000; 210 (6): 320-4.


Characterization of a subfamily of related winged helix genes, XFD-12/12'/12" (XFLIP), during Xenopus embryogenesis., Sölter M, Köster M, Hollemann T, Brey A, Pieler T, Knöchel W., Mech Dev. December 1, 1999; 89 (1-2): 161-5.   


Expression of the highly conserved RNA binding protein KOC in embryogenesis., Mueller-Pillasch F, Pohl B, Wilda M, Lacher U, Beil M, Wallrapp C, Hameister H, Knöchel W, Adler G, Gress TM., Mech Dev. October 1, 1999; 88 (1): 95-9.   


Genomic structure and embryonic expression of the Xenopus winged helix factors XFD-13/13'., Köster M, Dillinger K, Knöchel W., Mech Dev. October 1, 1999; 88 (1): 89-93.   


Characterization of zebrafish smad1, smad2 and smad5: the amino-terminus of smad1 and smad5 is required for specific function in the embryo., Müller F, Blader P, Rastegar S, Fischer N, Knöchel W, Strähle U., Mech Dev. October 1, 1999; 88 (1): 73-88.   


Transcriptional regulation of Xvent homeobox genes., Rastegar S, Friedle H, Frommer G, Knöchel W., Mech Dev. March 1, 1999; 81 (1-2): 139-49.   


Expression pattern of the winged helix factor XFD-11 during Xenopus embryogenesis., Köster M, Dillinger K, Knöchel W., Mech Dev. August 1, 1998; 76 (1-2): 169-73.   


Neural induction in embryos., Tiedemann H, Asashima M, Grunz H, Knöchel W, Tiedemann H., Dev Growth Differ. August 1, 1998; 40 (4): 363-76.


Structural and functional analysis of the BMP-4 promoter in early embryos of Xenopus laevis., Metz A, Knöchel S, Büchler P, Köster M, Knöchel W., Mech Dev. June 1, 1998; 74 (1-2): 29-39.

???pagination.result.page??? 1 2 ???pagination.result.next???