Click here to close
Hello! We notice that you are using Internet Explorer, which is not supported by Xenbase and may cause the site to display incorrectly. We suggest using a current version of
Chrome
,
FireFox
, or
Safari
.
???banner.login???
???banner.register???
Contact Us
Cite Xenbase
Search
Genes
Xenbase With Google
People
Labs
Organizations
Paper Authors
Paper Titles
Xenbase Accession
Clones
Anatomy Items
Disease Ontology
MIM Diseases
GO Terms
GEO Data Sets
Phenotypes
Genes
Xenbase With Google
People
Labs
Organizations
Paper Authors
Paper Titles
Xenbase Accession
Clones
Anatomy Items
Disease Ontology
MIM Diseases
GO Terms
GEO Data Sets
BLAST
Xenopus
mRNA
Xenopus
protein
X. laevis
10.1
(J-Strain)
X. laevis
9.2
(J-Strain)
X. tropicalis
10.0
(Nigerian)
X. tropicalis
9.1
(Nigerian)
Mitochondrial Genomes
Other Amphibian Genomes
Genomes
Download
Xenopus
Genomes
X. laevis
v10.1
(J-Strain)
JBrowse
JBrowse2
X. tropicalis
v10.0
(Nigerian)
JBrowse
JBrowse2
Simple Synteny Search
JBrowse2 Multi-way Synteny
Xenbase UCSC Track Hub
Other Amphibian Genomes
on JBrowse
Expression
Expression Search
Anatomy Search
GEO Data @ Xenbase
RNA-Seq Visualization
miRNA Catalog
X. laevis
Protein Expression
Genes
Gene Search
Gene Search Tips
Gene Nomenclature
Gene Nomenclature FAQ
Phenotypes
Phenotype Search
Mutants
Disease Models
Disease Search
Xenopus
Phenotype Ontology (XPO)
Anatomy & Development
Anatomy Atlas
NF Development Stages (Classic)
NF Development Stages (Zahn Drawings)
Xenopus
Staging Landmarks Table
Development Stage Temperature Charts
Movies of
Xenopus
Embryos
Images of
Xenopus
Embryos
Images of adult
Xenopus
frogs
Cell Fate Maps
Xenopus
Anatomy Ontology (XAO)
Zahn Drawings
Reagents & Protocols
CRISPR & TALEN Support
???header.navigation.xenbaseSearchAntibodies???
???header.navigation.searchMorpholinos???
Guide RNAs (gRNA)
???header.navigation.searchORFeome???
Small Molecules Wiki
Protocols Wiki
Search Clones
Clone Libraries
Vectors
Obtain Frogs
Literature & Community
Search Papers
Find People
Find a Lab
Organizations
Job Postings
Xenopus
Community Groups
Meetings & Resources
Xenopus
White Paper
International
Xenopus
Board
Stock Center
Lines and Strains
Mutants
Transgenic Constructs
Clones
NXR
EXRC
NBRP
TEFOR
XLRRI
Download
Data Download
Gene Page Reports
Browse Download Site
Browse General Repository Site
BLAST Databases
Summary
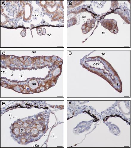
Anatomy Item Literature (779)
Expression
Attributions
Wiki
XB-ANAT-256
Anatomy Term:
ovary
XAO ID:
0000258
Synonyms:
Definition:
"Either of paired female reproductive organs involved in production of ova and female sex hormones."
Stage Range:
NF stage 52 to death
Marker Genes:
Antibody:
Add1 Ab1
Amh Ab1
Ctnnb1 Ab14
Dazl Ab1
Dmrt1 Ab1
Rspo1 Ab1
Rspo1 Ab2
Sox9 Ab2
Vim Ab2
Wnt4 Ab1
Znf208 Ab1
1/10
Develops From:
Develops Into:
Parent(s):
gonad (is_a)
female genitalia (part_of)
References:
Ontology Lookup Service
,
XB ANATOMY ONTOLOGY