Click here to close Hello! We notice that you are using Internet Explorer, which is not supported by Xenbase and may cause the site to display incorrectly. We suggest using a current version of Chrome, FireFox, or Safari.

XB-ANAT-215

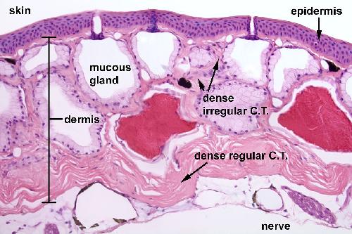
Anatomy Term: dermis
XAO ID: 0000217
Synonyms:
Definition: "A layer of skin between the epidermis (with which it makes up the skin) and subcutaneous tissues, composed of two layers, the papillary and reticular dermis."
Stage Range: NF stage 23 to death
Marker Genes:
Antibody:
1/3
Develops From:
Anatomy Item Stage Range
dermatome NF stage 17 to NF stage 47
Develops Into:
 
Parent(s): dermatome

 

Parent(s): multi-tissue structure (is_a) skin (part_of)

 


References: Ontology Lookup Service , XB ANATOMY ONTOLOGY